Cancer primitif du poumon
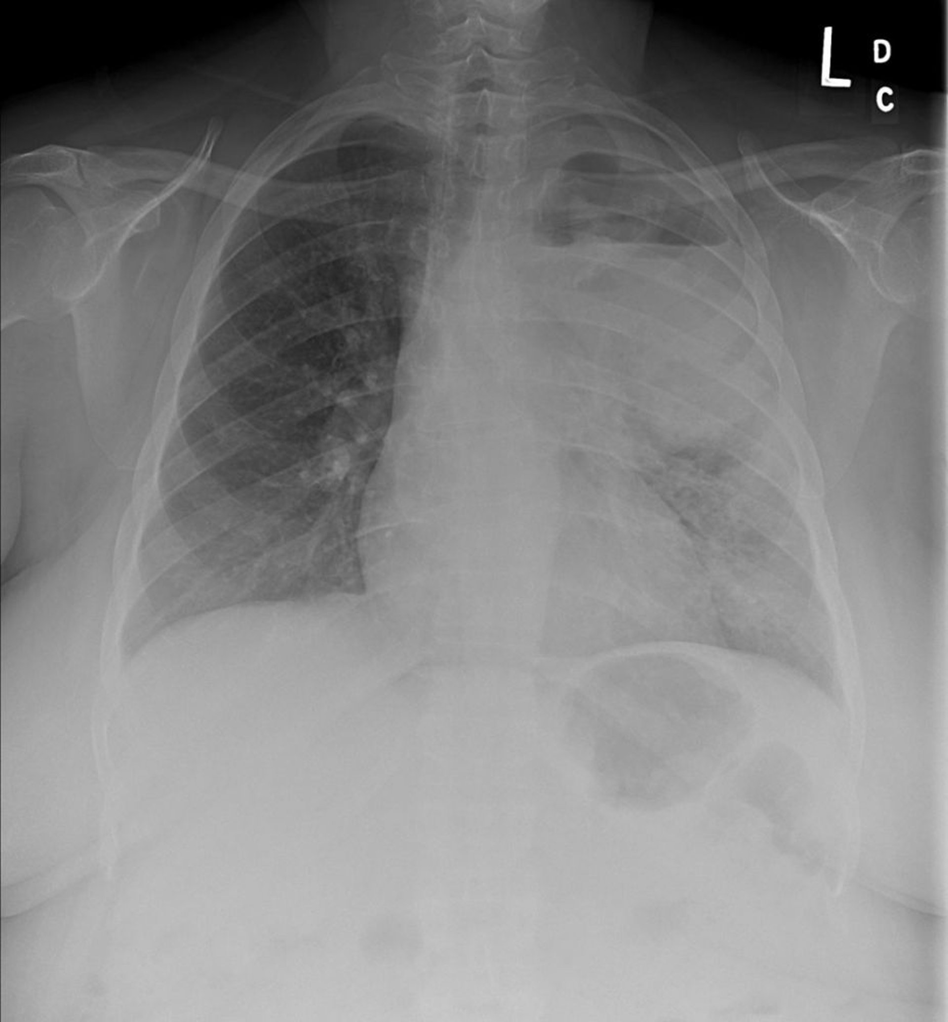
La radiographie de thorax montre un cancer du poumon non à petites cellules du lobe supérieur gauche avec une adénopathie médiastinale et hilaire gauche. La tumeur primitive est cavitée et un niveau air-liquide est présent.
Image courtoisie de Anne S. Tsao, MD.
Dans ces sujets
