Carcinome à cellules rénales (TDM avec contraste)
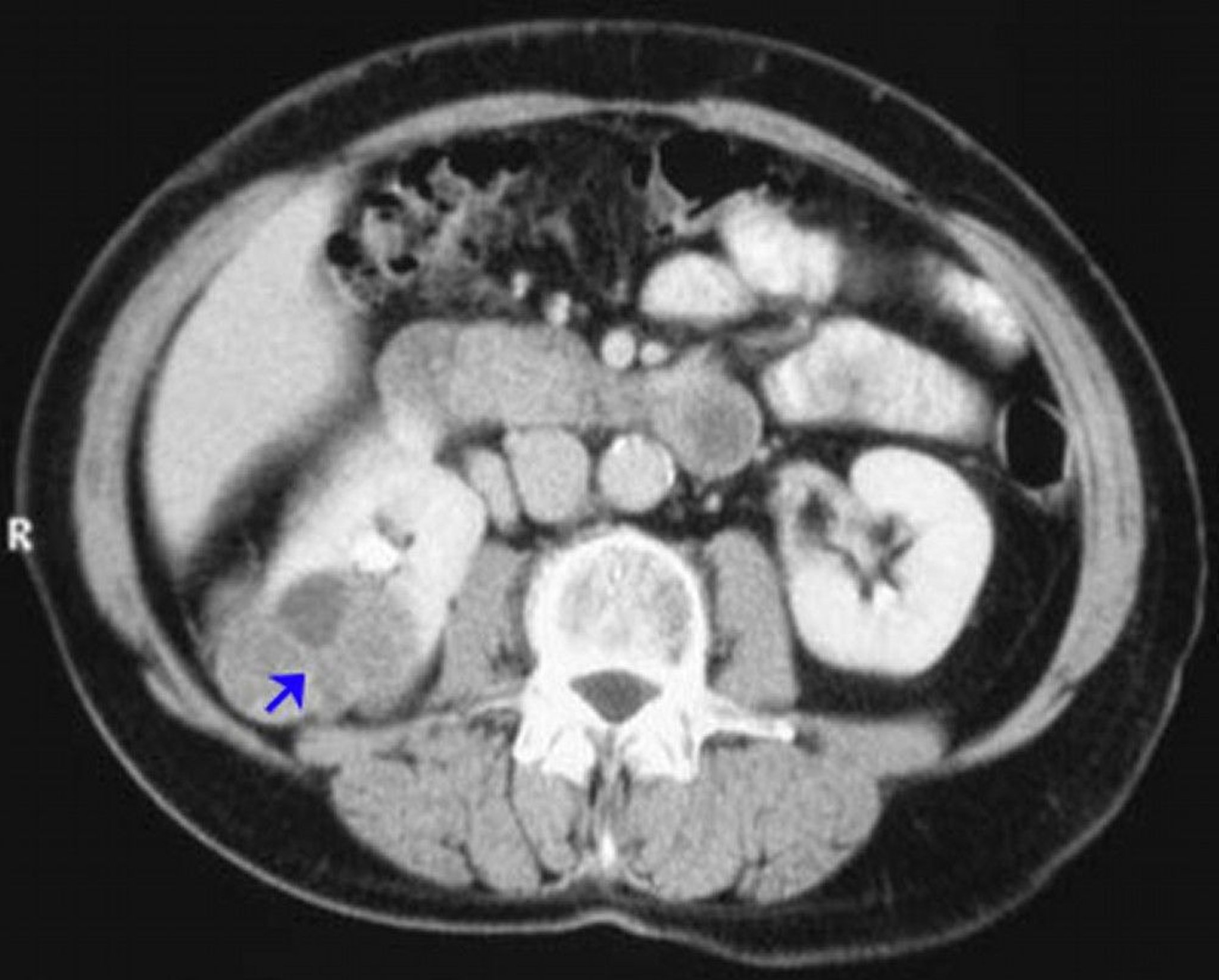
Cette image montre un carcinome à cellules rénales du rein droit (flèche) montrant une tumeur qui prend peu le contraste.
© Springer Science+Business Media
Dans ces sujets
Cette image montre un carcinome à cellules rénales du rein droit (flèche) montrant une tumeur qui prend peu le contraste.
© Springer Science+Business Media