Carcinome malpighien (lésions gingivales)
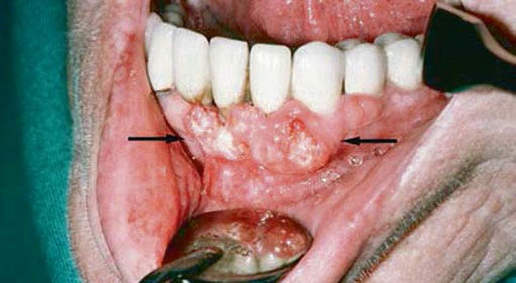
L'examen gingival de ce patient a mis en évidence un carcinome malpighien. L'imagerie a montré une invasion de la mandibule.
© Springer Science+Business Media
Dans ces sujets
L'examen gingival de ce patient a mis en évidence un carcinome malpighien. L'imagerie a montré une invasion de la mandibule.
© Springer Science+Business Media