Caries (à l'examen)
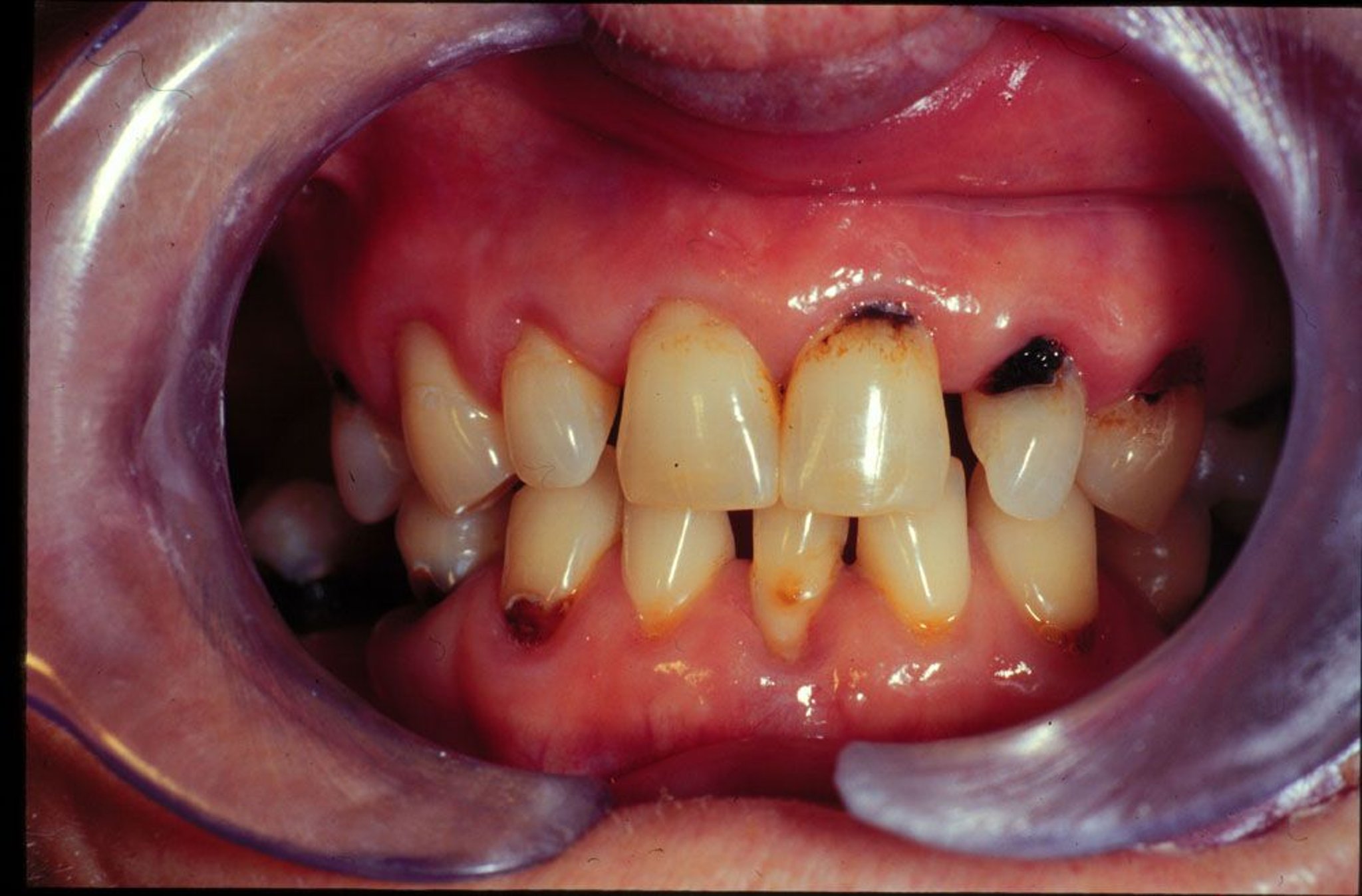
Caries dentaires nouvelles et récurrentes chez un patient qui a la bouche sèche.
Image provided by Jonathan A. Ship, DMD.
Dans ces sujets
Caries dentaires nouvelles et récurrentes chez un patient qui a la bouche sèche.
Image provided by Jonathan A. Ship, DMD.