Colite ischémique (TDM)
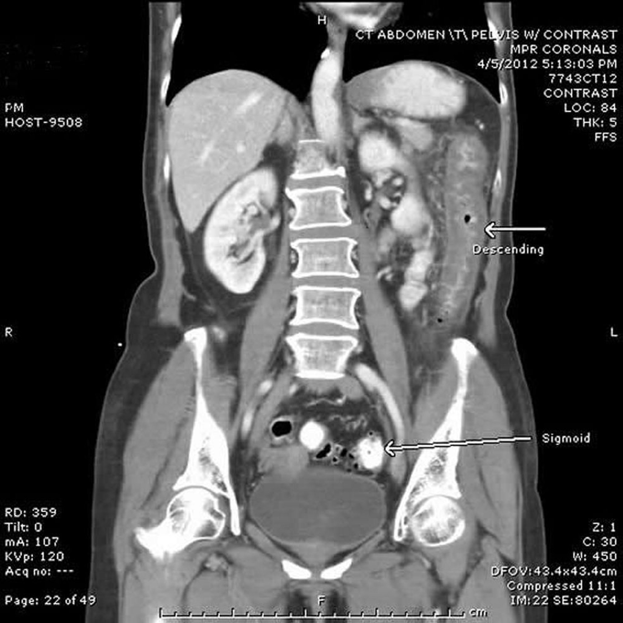
Dans cette TDM, le côlon descendant (flèche du haut) a une paroi épaisse depuis l'angle colique gauche au côlon sigmoïde proximal. Observer le côlon sigmoïde distal (flèche du bas) avec diverticulose mais sans modification inflammatoire ou ischémique.
Image provided by Parswa Ansari, MD.
Dans ces sujets
