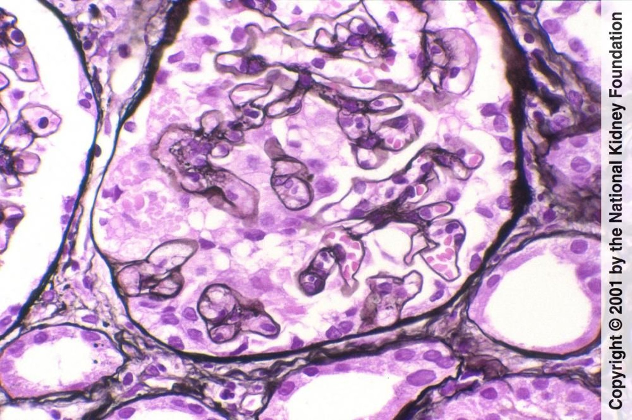
Collapsing Glomerulopathy
Le froissement ou l'effondrement de la pelote capillaire (touffe glomérulaire), accompagnés ici d'une dilatation microkystique des tubules, peuvent survenir en cas de glomérulosclérose segmentaire et focale ou de néphropathie associée au VIH et sont un marqueur pronostique défavorable (coloration de Jones à l'argent, ×400).
Image fournie par Agnes Fogo, MD, and the American Journal of Kidney Diseases' Atlas of Renal Pathology (voir www.ajkd.org).
Dans ces sujets
