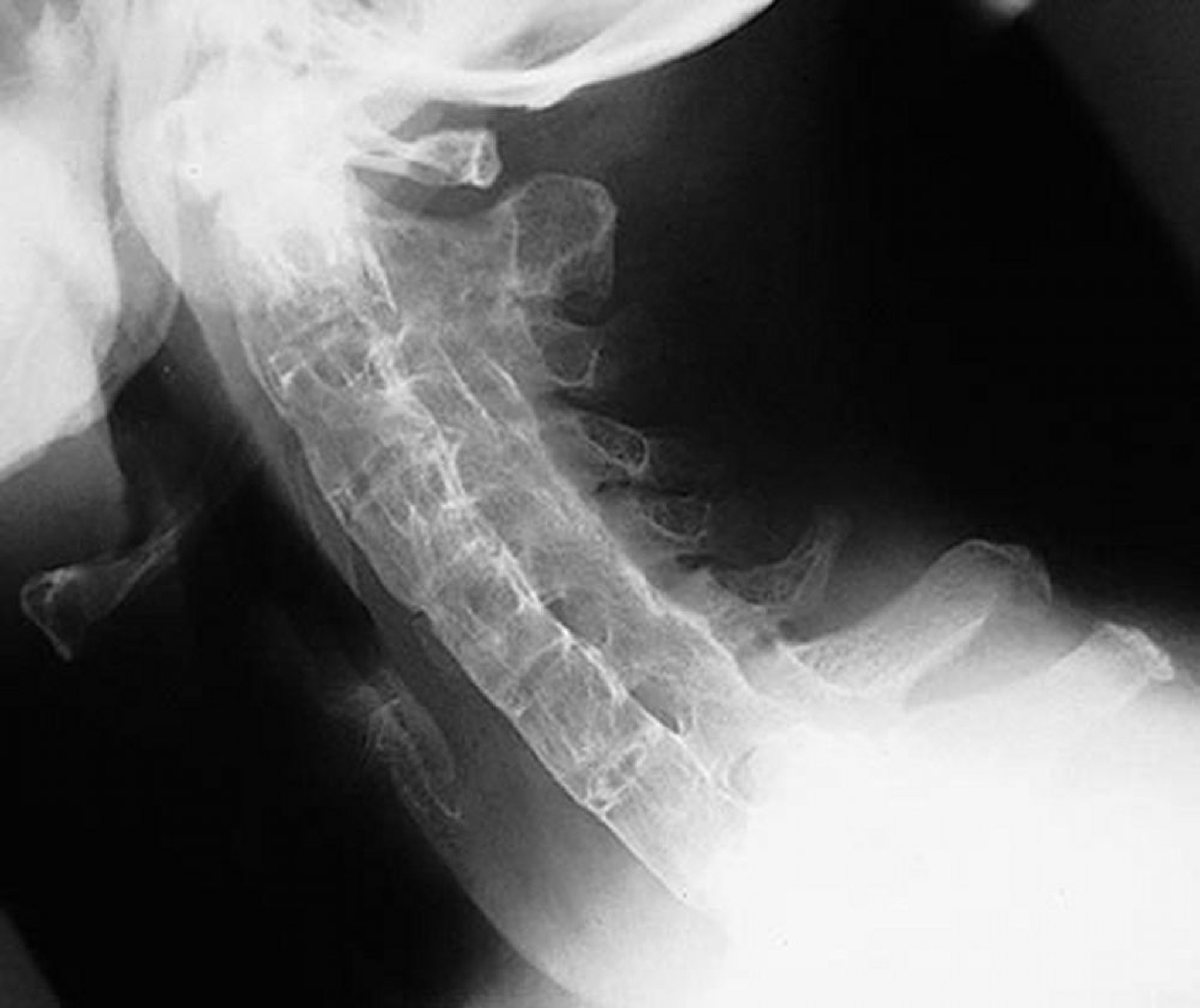
Colonne bambou dans la spondylarthrite ankylosante
Cette incidence latérale de la colonne cervicale montre une colonne cervicale rigide chez un patient atteint de spondylarthrite ankylosante sévère et ancienne. La colonne vertébrale est complètement ankylosée ("colonne bambou") par des syndesmophytes, des soudures des apophyses articulaires et des calcifications ligamentaires paraspinales.
By permission of the publisher. From Asim Khan M: Atlas of Rheumatology. Edited by G Hunder. Philadelphia, Current Medicine, 2005.
Dans ces sujets
