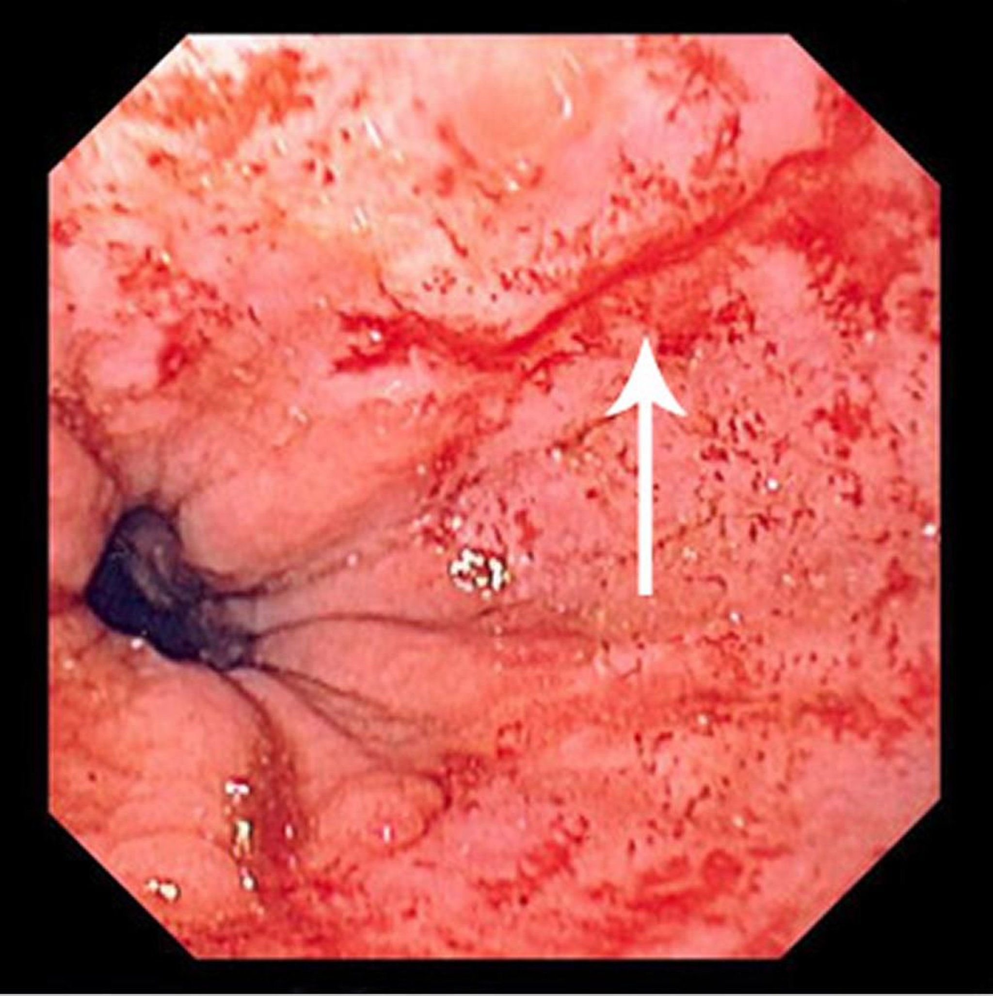
Déchirure de Mallory-Weiss
Cette image montre une fine déchirure linéaire (flèche) commençant juste au-dessus de la jonction squamocolonnaire et s'étendant proximalement.
Image provided by David M. Martin, MD.
Dans ces sujets
Cette image montre une fine déchirure linéaire (flèche) commençant juste au-dessus de la jonction squamocolonnaire et s'étendant proximalement.
Image provided by David M. Martin, MD.