Dysplasie fibreuse
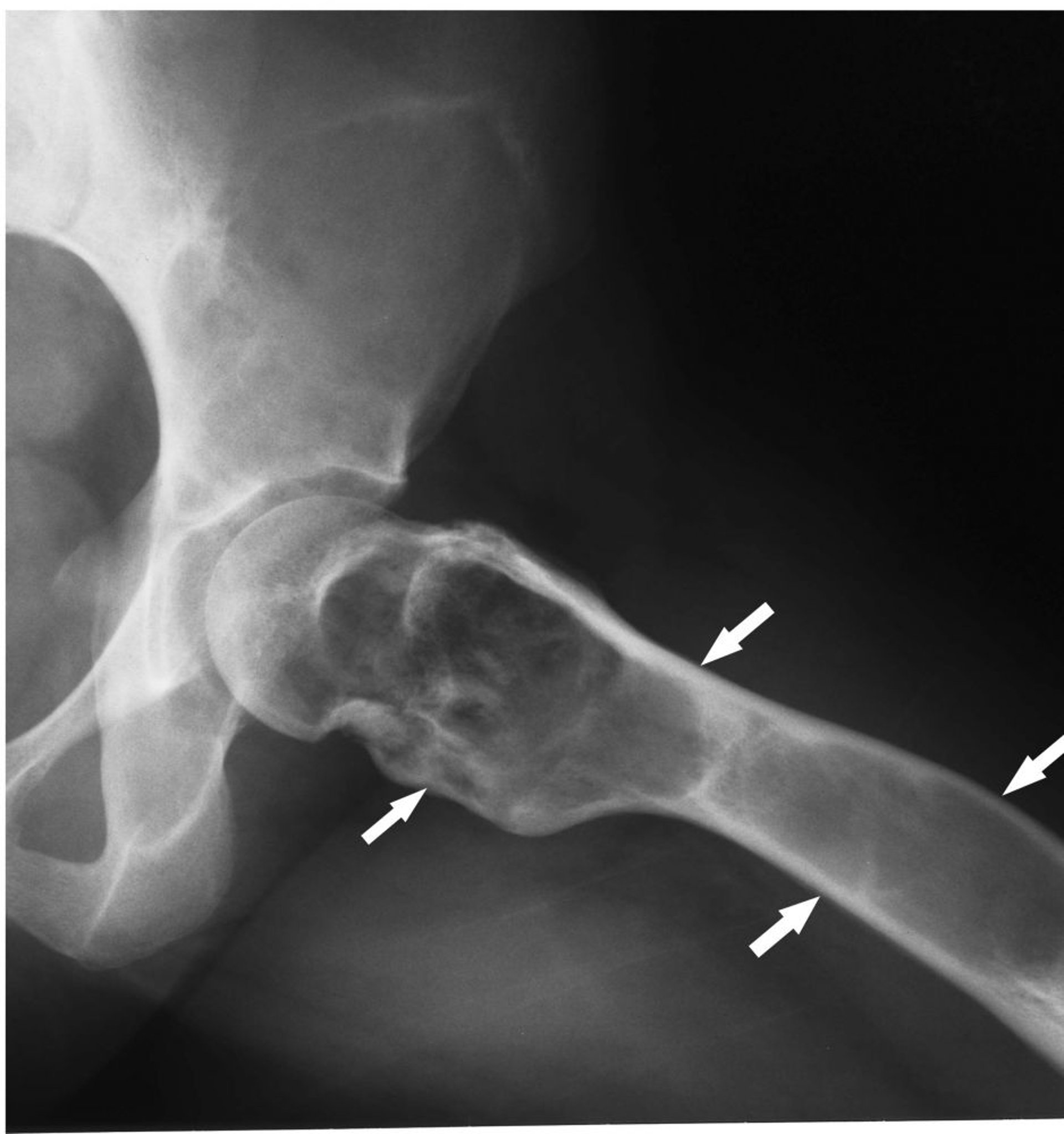
Cette radiographie de la hanche montre une dysplasie fibreuse (flèches) avec expansion corticale et matrice en verre dépoli.
Image courtoisie de Michael J. Joyce, MD, and Hakan Ilaslan, MD.
Dans ces sujets
Cette radiographie de la hanche montre une dysplasie fibreuse (flèches) avec expansion corticale et matrice en verre dépoli.
Image courtoisie de Michael J. Joyce, MD, and Hakan Ilaslan, MD.