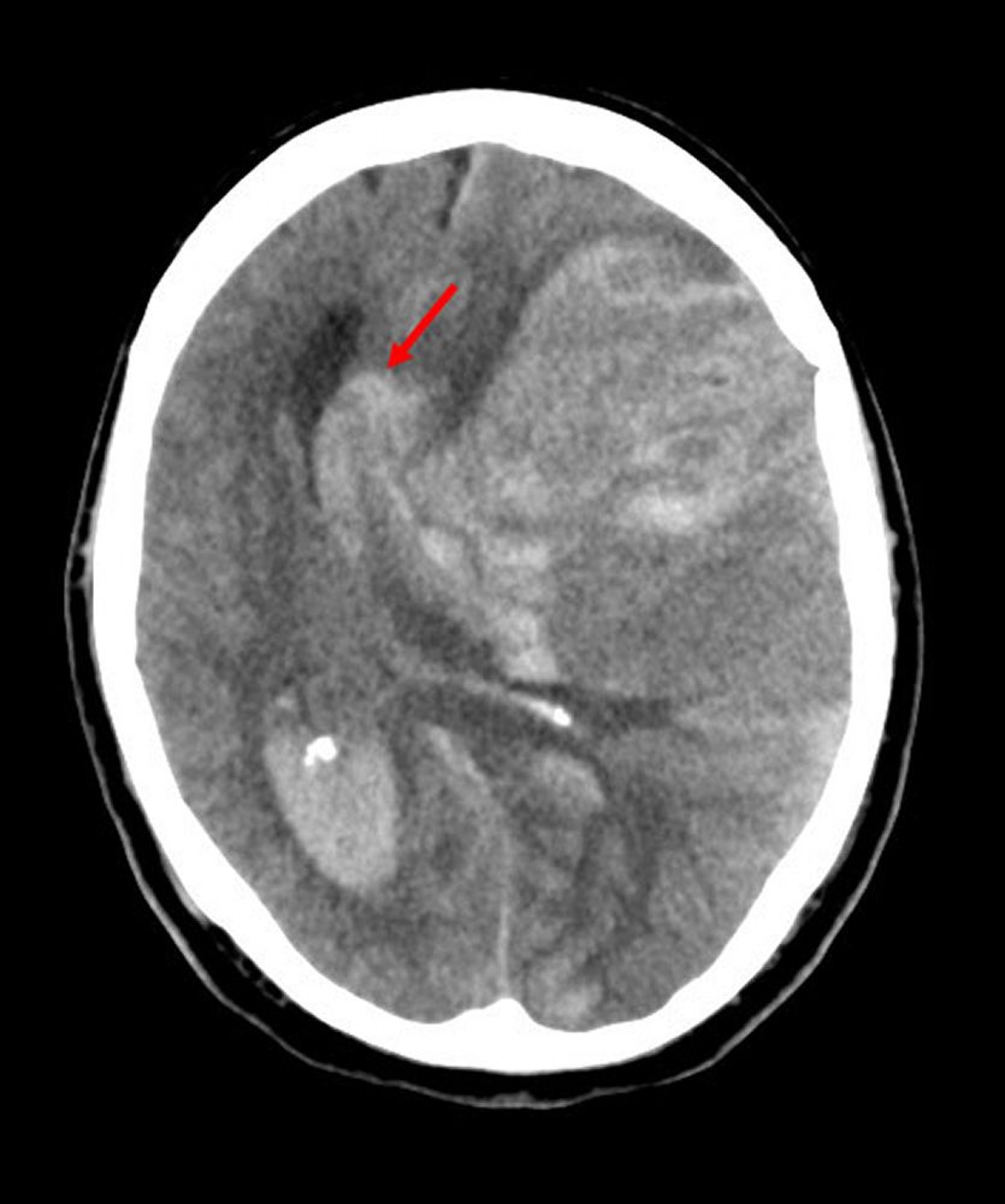
Engagement sous la faux du cerveau
L'engagement sous la faux du cerveau est le type le plus fréquent d'engagement cérébral. Dans cette image, le cerveau gauche s'est hernié sous le bord libre de la faux du cerveau (flèche) parce que l'hémorragie d'un infarctus de l'artère cérébrale moyenne a augmenté la pression intracérébrale.
© 2017 Elliot K. Fishman, MD.
