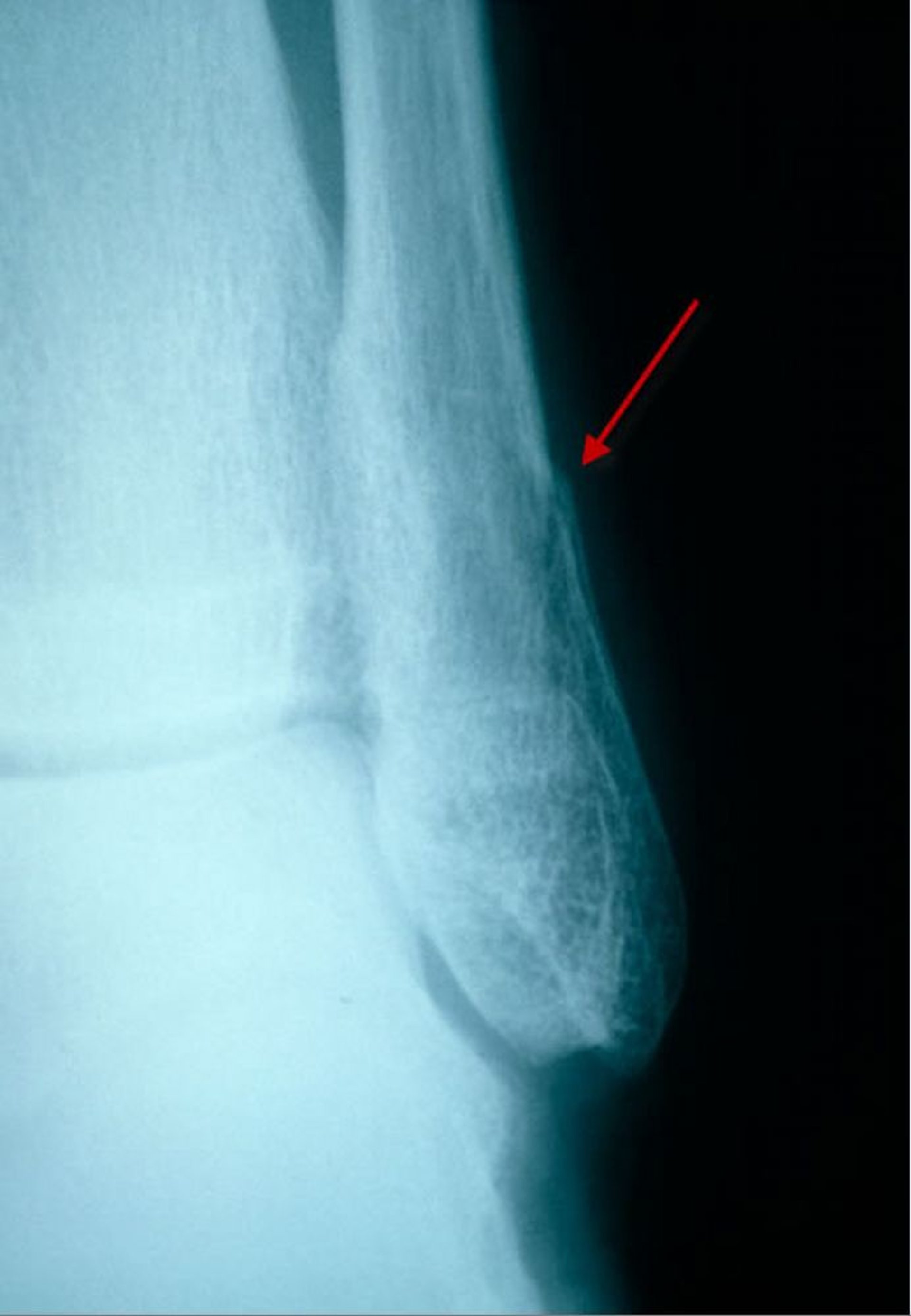
Fracture distale subtile du péroné (vue latérale)
Sur cette en incidence de profil, une fracture du péroné distal est visible comme une petite radiotransparence et une discontinuité (décalage) du cortex.
DR P. MARAZZI/SCIENCE PHOTO LIBRARY
Dans ces sujets
