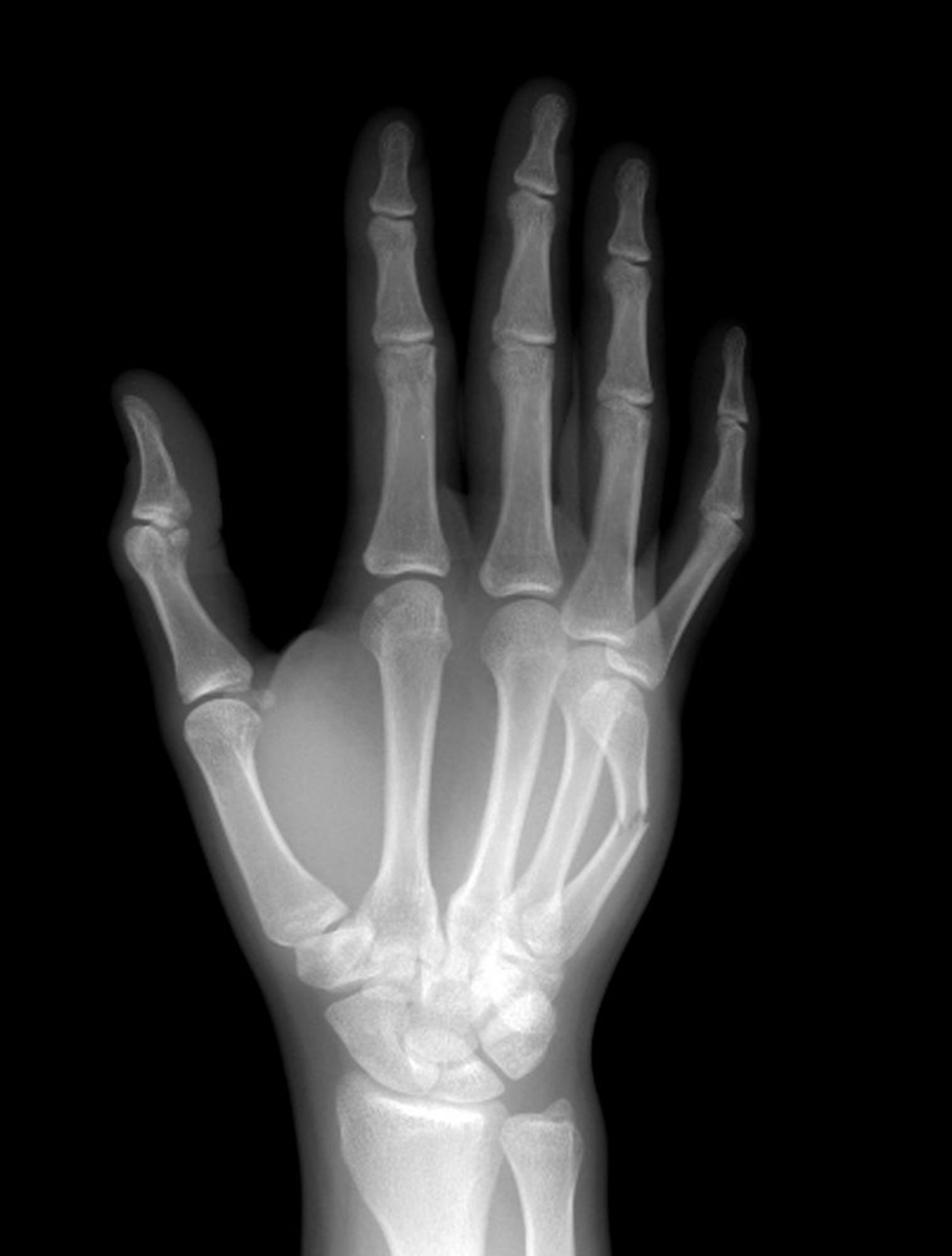
Fracture du col des métacarpiens
Le col du 5e os métacarpien est fracturé à mi-diaphyse.
LIVING ART ENTERPRISES, LLC/SCIENCE PHOTO LIBRARY
Dans ces sujets
Le col du 5e os métacarpien est fracturé à mi-diaphyse.
LIVING ART ENTERPRISES, LLC/SCIENCE PHOTO LIBRARY