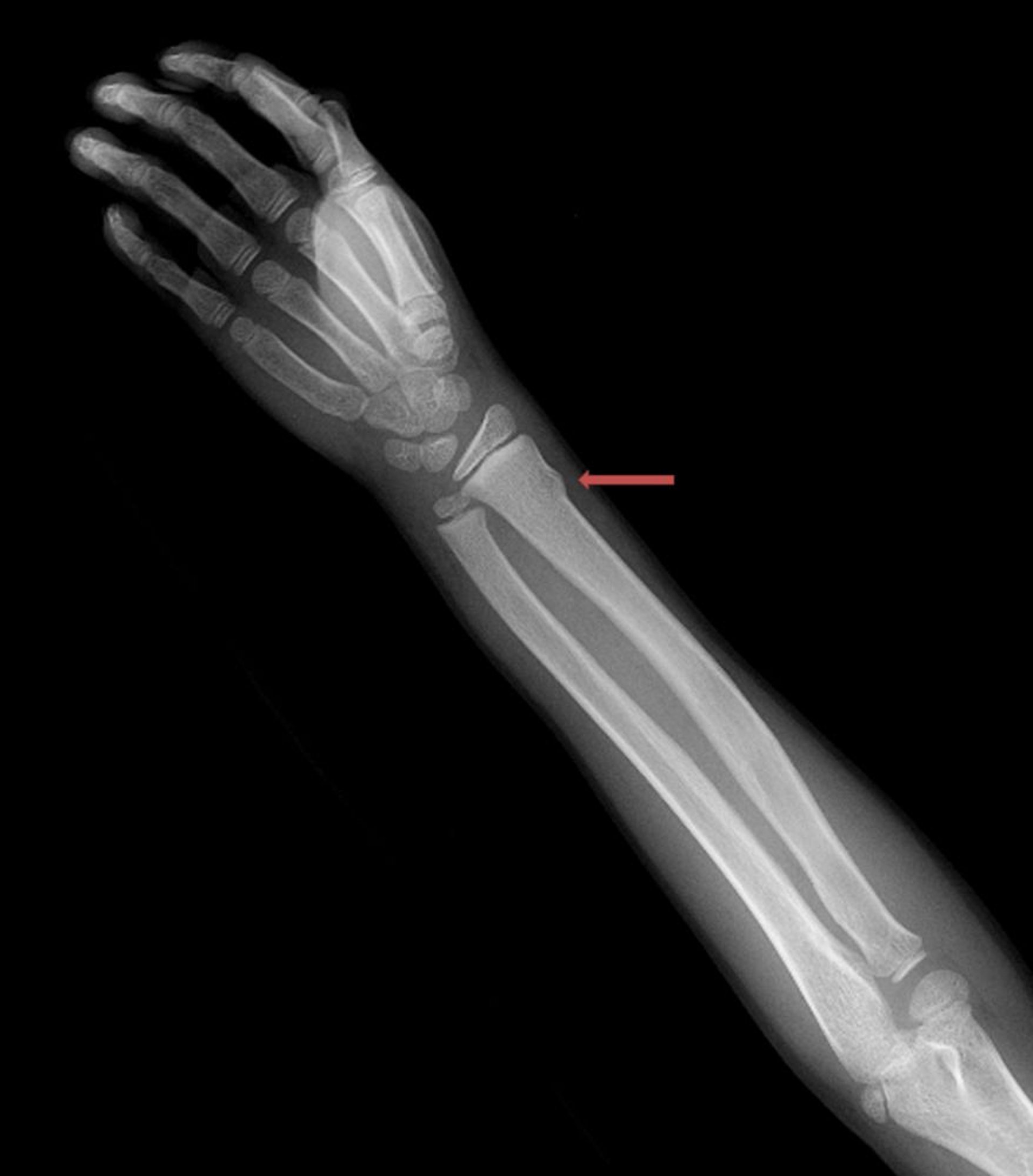
Fracture du poignet en motte de beurre
Cette fracture en tore du radius distal n'est visible que comme une légère irrégularité de la corticale osseuse.
LIVING ART ENTERPRISES, LLC/SCIENCE PHOTO LIBRARY
Dans ces sujets
Cette fracture en tore du radius distal n'est visible que comme une légère irrégularité de la corticale osseuse.
LIVING ART ENTERPRISES, LLC/SCIENCE PHOTO LIBRARY