Fracture du scaphoïde carpien
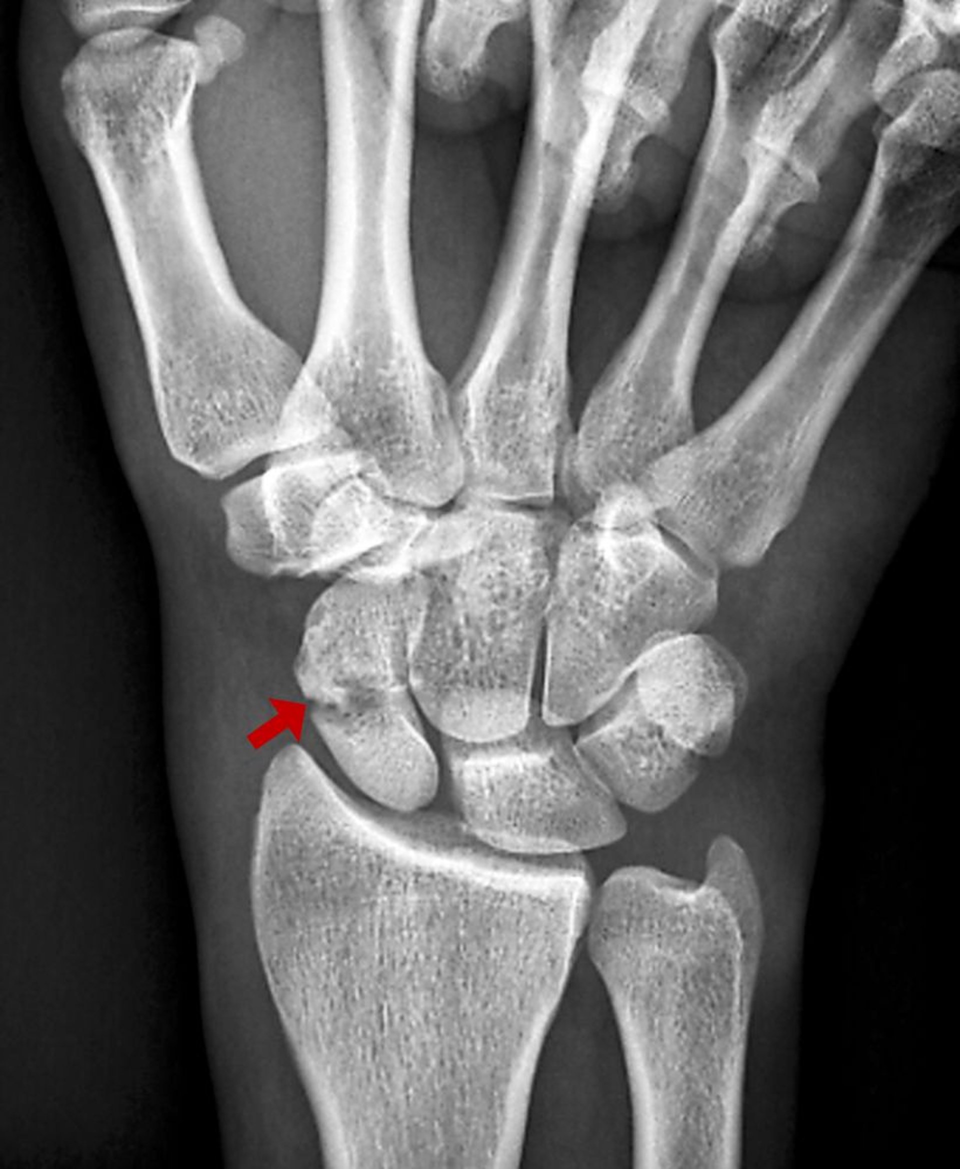
Cette fracture du scaphoïde est visible comme une zone radiotransparente sur la radiographie.
ZEPHYR/SCIENCE PHOTO LIBRARY
Dans ces sujets
Cette fracture du scaphoïde est visible comme une zone radiotransparente sur la radiographie.
ZEPHYR/SCIENCE PHOTO LIBRARY