Fracture en tore du doigt
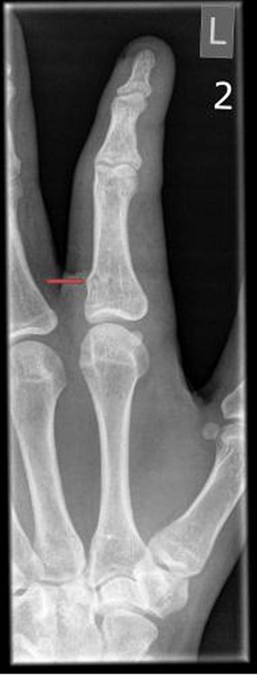
Les fractures en tore ne sont visibles que sous la forme d'irrégularités subtiles de la corticale osseuse.
PHOTOSTOCK-ISRAEL/SCIENCE PHOTO LIBRARY
Dans ces sujets
Les fractures en tore ne sont visibles que sous la forme d'irrégularités subtiles de la corticale osseuse.
PHOTOSTOCK-ISRAEL/SCIENCE PHOTO LIBRARY