Fracture ostéoporotique par compression
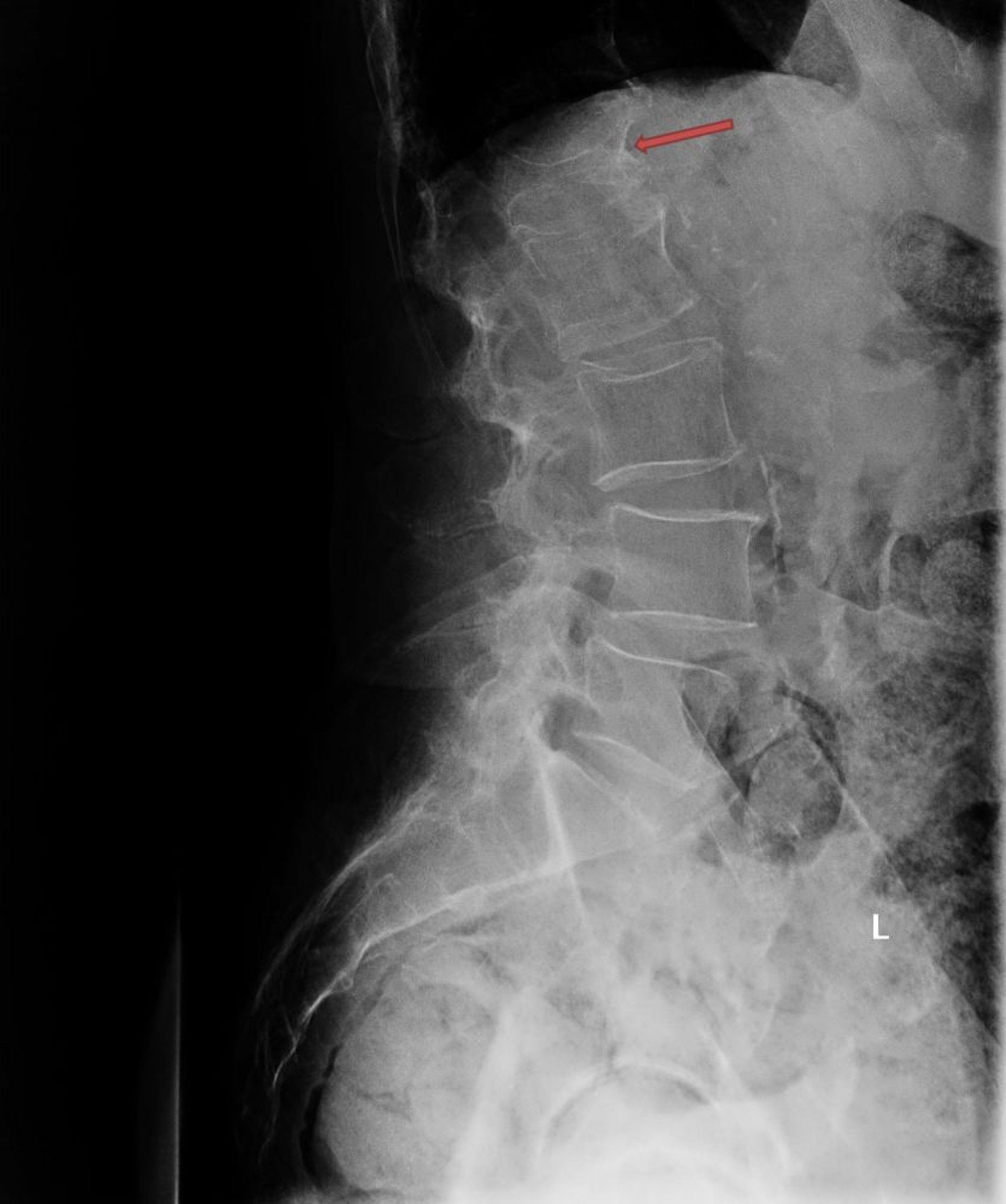
Cette radiographie montre une fracture de compression ostéoporotique sévère de la première vertèbre lombaire (L1; flèche).
Photo courtesy of Marcy B. Bolster, MD.
Dans ces sujets
Cette radiographie montre une fracture de compression ostéoporotique sévère de la première vertèbre lombaire (L1; flèche).
Photo courtesy of Marcy B. Bolster, MD.