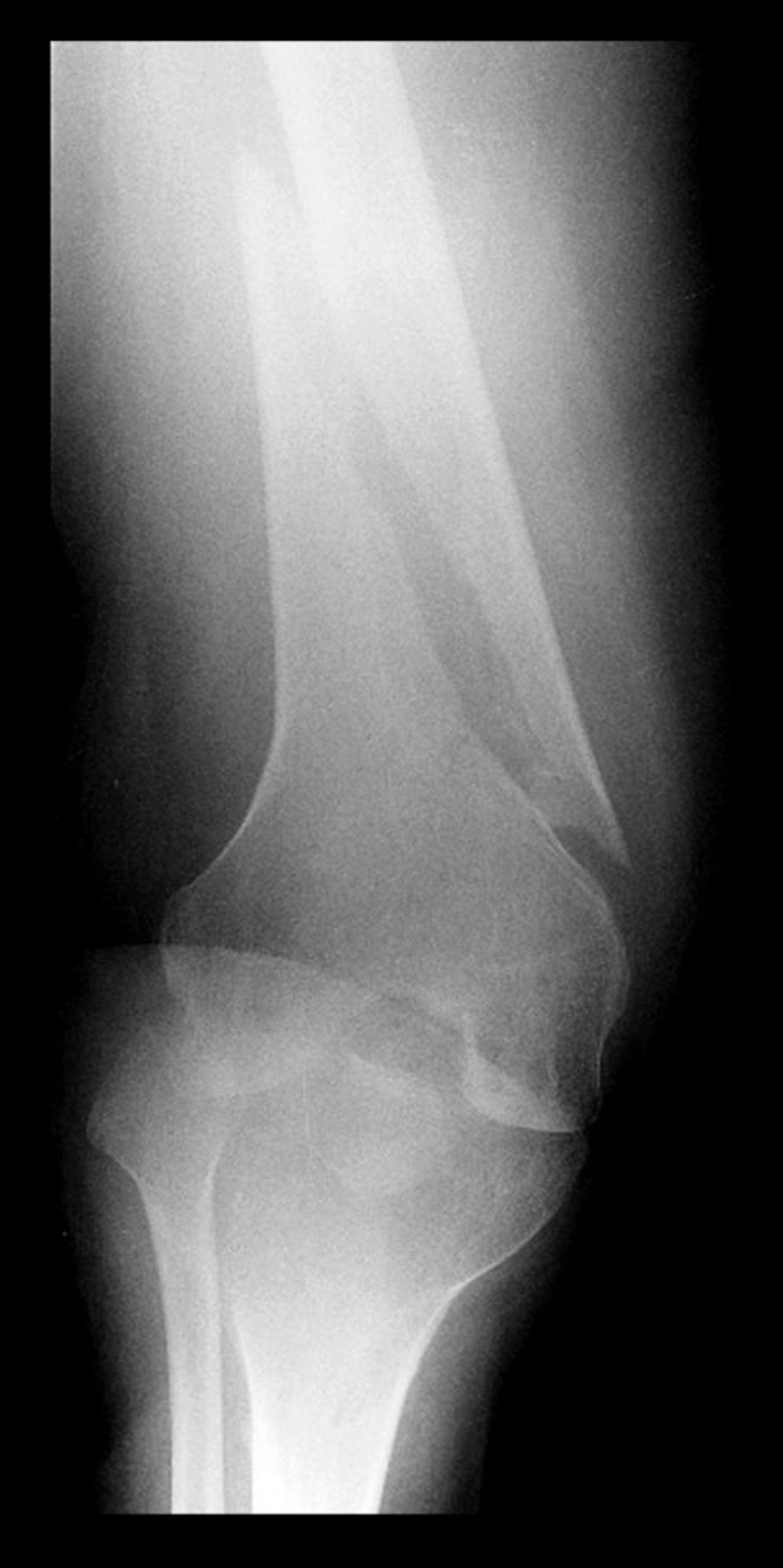
Fracture spirale du fémur distal
Cette radiographie du fémur distal montre une radiotransparence avec une composante parallèle à l'axe longitudinal de l'os, indiquant une fracture en spirale.
LIVING ART ENTERPRISES/SCIENCE PHOTO LIBRARY
Dans ces sujets
