Gangrène du pied (radiographie)
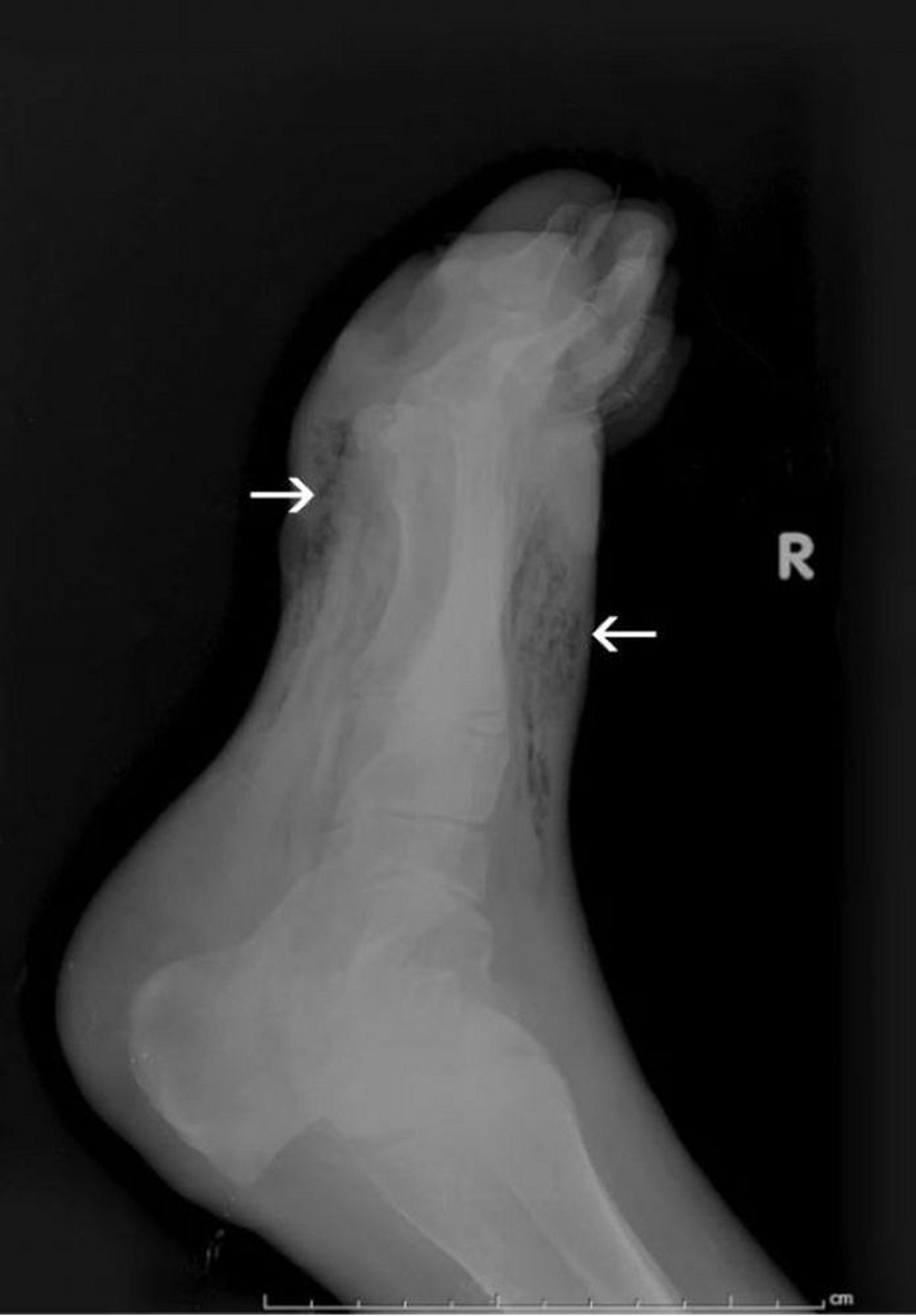
Cette radiographie montre des gaz dans les tissus mous du pied (flèches).
© Springer Science+Business Media
Dans ces sujets
Cette radiographie montre des gaz dans les tissus mous du pied (flèches).
© Springer Science+Business Media