Glomérulonéphrite membranoproliférative, à médiation par le complément
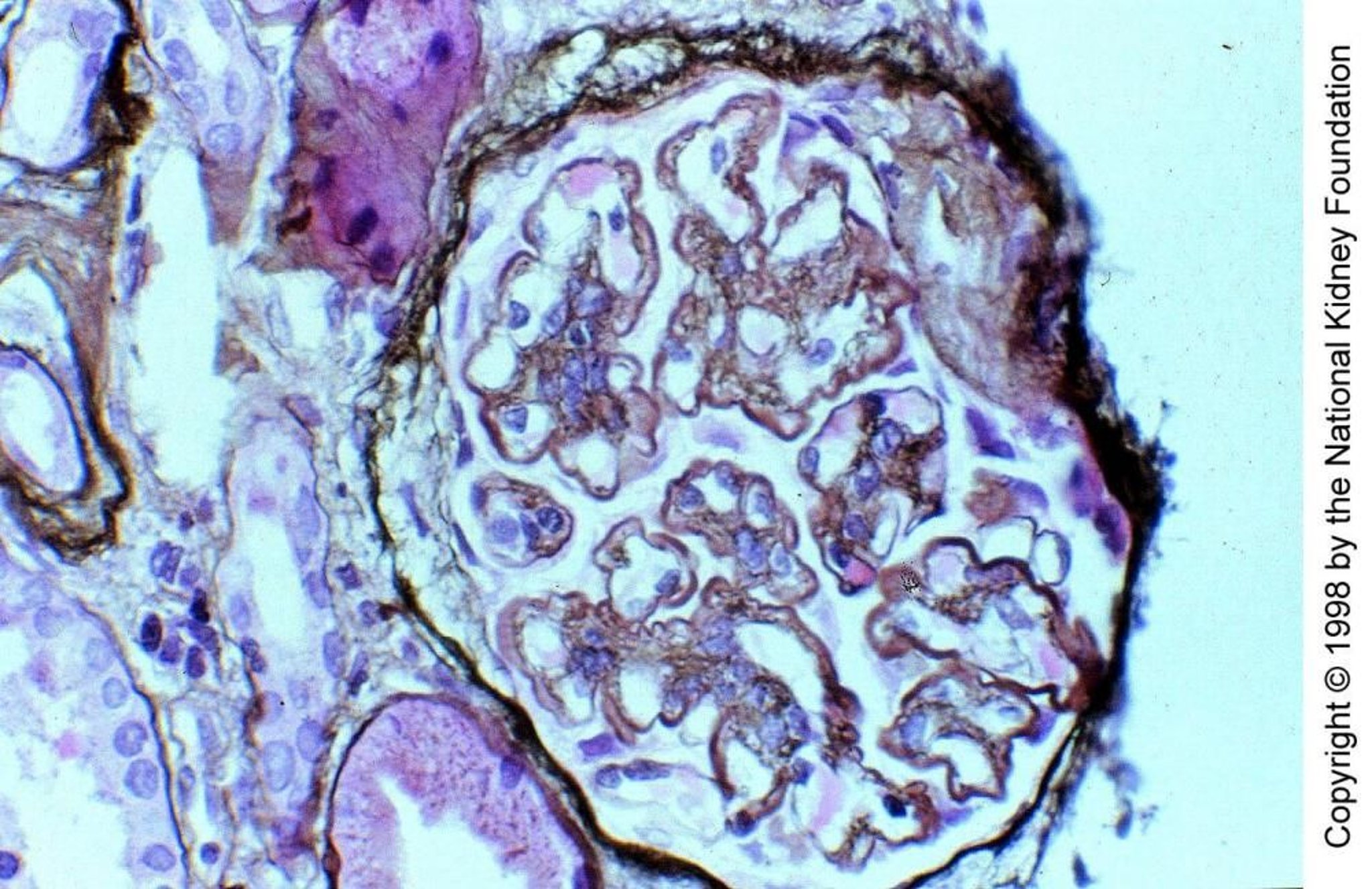
Dans la glomérulonéphrite membranoproliférative de type II médiée par le complément, le facteur néphritique C3, un auto-anticorps IgG qui se comporte comme la névrine en clivant directement C3 en C3b, active le complément par la voie alternative dans les parois capillaires glomérulaires et le mésangium. Les dépôts de C3 remplacent partiellement la membrane basale de la lamina densa, lui donnant un aspect de ruban épaissi et caractéristique (coloration de Jones à l'argent, ×400).
Image fournie par Agnes Fogo, MD, and the American Journal of Kidney Diseases' Atlas of Renal Pathology (voir www.ajkd.org).
Dans ces sujets
