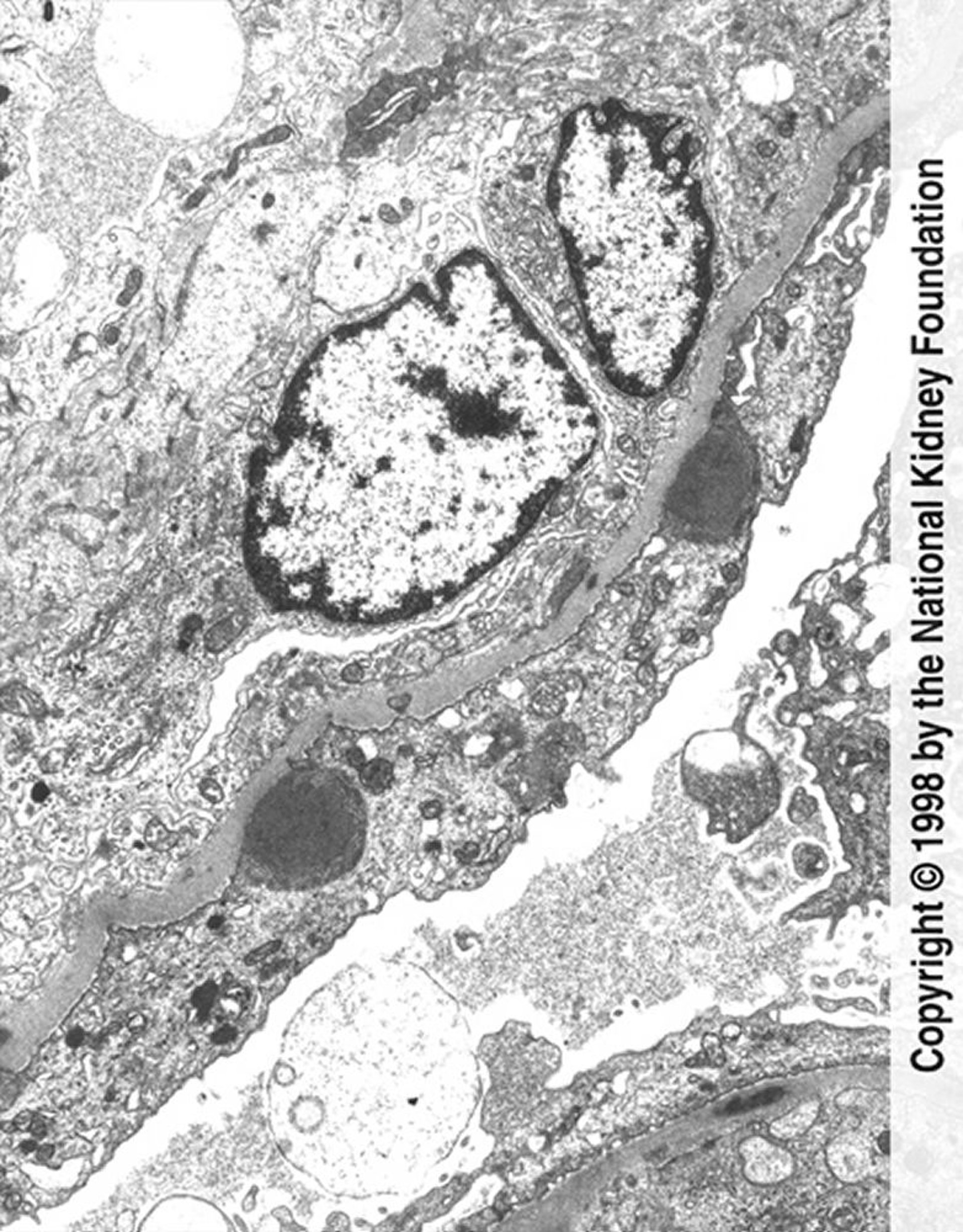
Glomérulonéphrite post-infectieuse (dépôts de complexes immuns)
Des dépôts de complexes immuns en forme de bosse (gris foncé) avec un effacement important des pédicelles et une prolifération endocapillaire sont visibles sur la micrographie électronique à transmission (×11 250).
Image fournie par Agnes Fogo, MD, and the American Journal of Kidney Diseases' Atlas of Renal Pathology (voir www.ajkd.org).
Dans ces sujets
