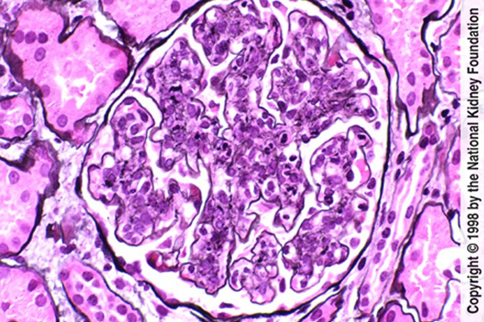
Glomérulonéphrite post-infectieuse (hypercellularité avec infiltration neutrophile)
Hypercellularité endothéliale et mésangiale avec infiltration neutrophile (coloration de Jones à l'argent, ×400).
Image fournie par Agnes Fogo, MD, and the American Journal of Kidney Diseases' Atlas of Renal Pathology (voir www.ajkd.org).
Dans ces sujets
