Glomérulonéphrite rapidement progressive (Pauci-Immune)
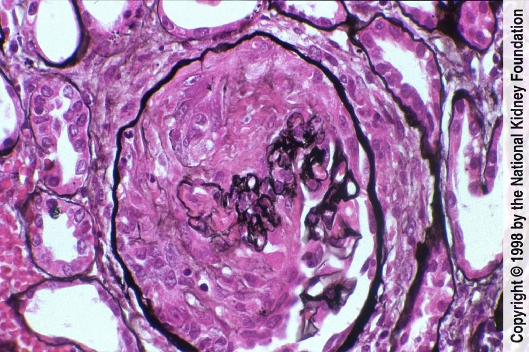
La maladie pauci-immunitaire est caractérisée par la formation de croissants avec nécrose fibrinoïde et coloration par immunofluorescence négative (coloration de Jones à l'argent, ×400).
Image provided by Agnes Fogo, MD, and the American Journal of Kidney Diseases' Atlas of Renal Pathology (see www.ajkd.org).
Dans ces sujets
