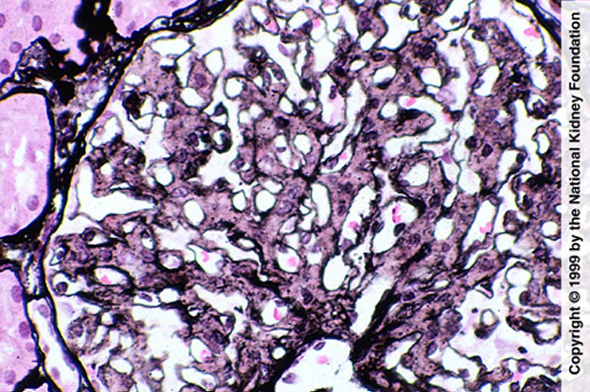
Glomérulopathie fibrillaire (prolifération mésangiale)
La prolifération mésangiale est évocatrice de glomérulopathie fibrillaire; cependant, le diagnostic nécessite une coloration négative au rouge Congo, une coloration IgG par immunofluorescence et la mise en évidence de fibrilles au microscope électronique (coloration de Jones à l'argent, ×400).
Image fournie par Agnes Fogo, MD, and the American Journal of Kidney Diseases' Atlas of Renal Pathology (voir www.ajkd.org).
Dans ces sujets
