Glomérulosclérose segmentaire et focale
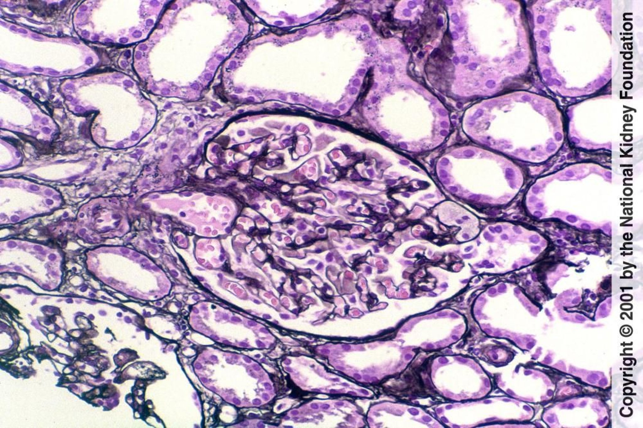
Une tip-lesion est une sclérose segmentaire localisée au pôle glomérulaire d'où provient le tubule. Ce peut être un marqueur de meilleur pronostic (coloration de Jones à l'argent, ×200).
Image fournie par Agnes Fogo, MD, and the American Journal of Kidney Diseases' Atlas of Renal Pathology (voir www.ajkd.org).
Dans ces sujets
