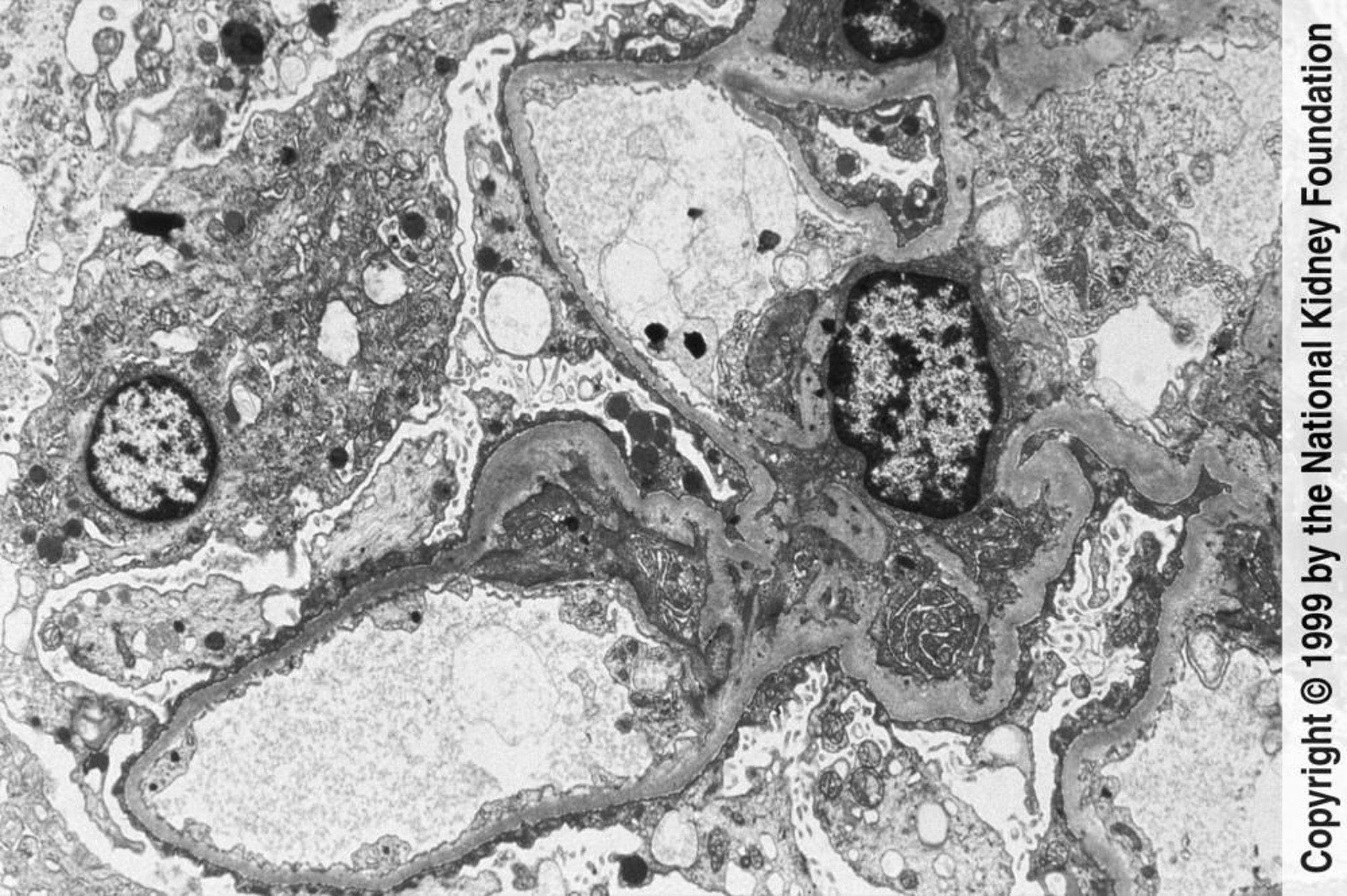
Glomérulosclérose segmentaire et focale (émoussement et effacement des pédicelles)
La microscopie électronique à transmission étendue permet d'observer un important décollement et l'effacement des pédicelles (×3000).
Image fournie par Agnes Fogo, MD, and the American Journal of Kidney Diseases' Atlas of Renal Pathology (voir www.ajkd.org).
Dans ces sujets
