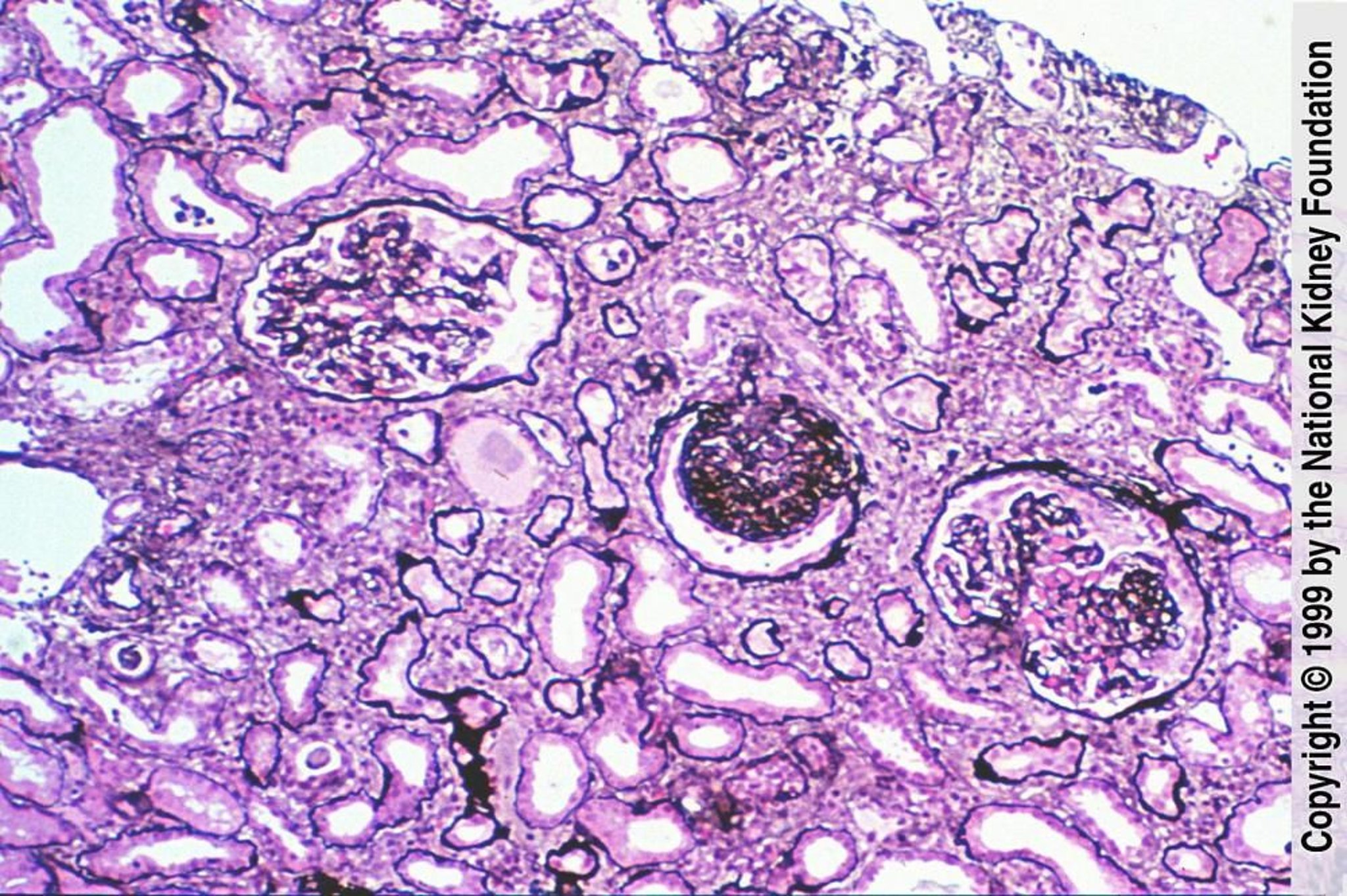
Glomérulosclérose segmentaire et focale (sclérose globale)
Le glomérule central de cette biopsie montre une sclérose globale. Le signe n'est pas spécifique et peut se développer en réponse à une lésion ou au vieillissement (coloration de Jones à l'argent, ×100).
Image fournie par Agnes Fogo, MD, and the American Journal of Kidney Diseases' Atlas of Renal Pathology (voir www.ajkd.org).
Dans ces sujets
