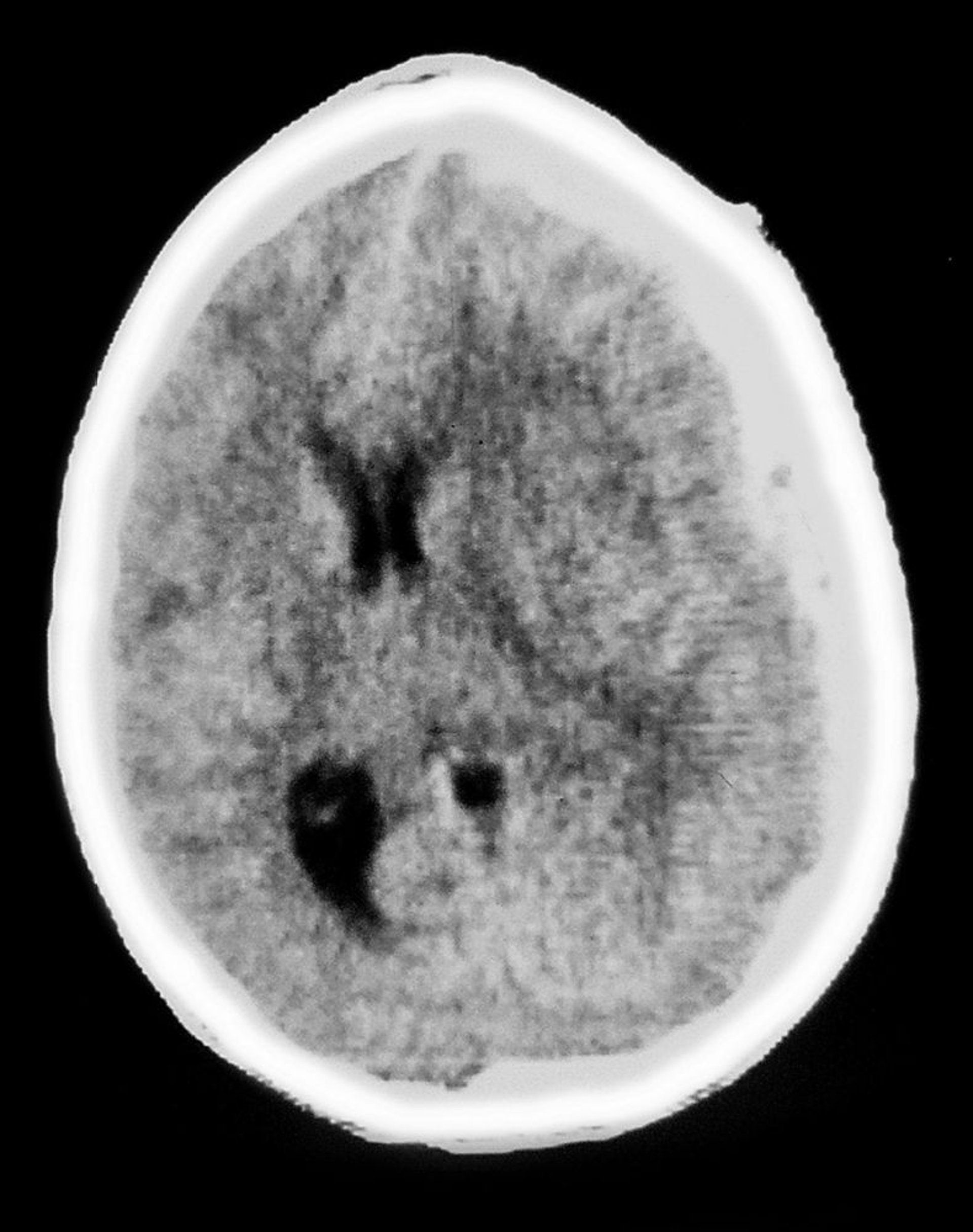
Hématome sous-dural
Cette TDM montre une opacité en forme de croissant recouvrant le tissu cérébral, caractéristique d'un hématome sous-dural. Il y a aussi un effet de masse, avec la compression ventriculaire et un déplacement de la ligne médiane.
Cavallini James/BSIP/SCIENCE PHOTO LIBRARY
Dans ces sujets
