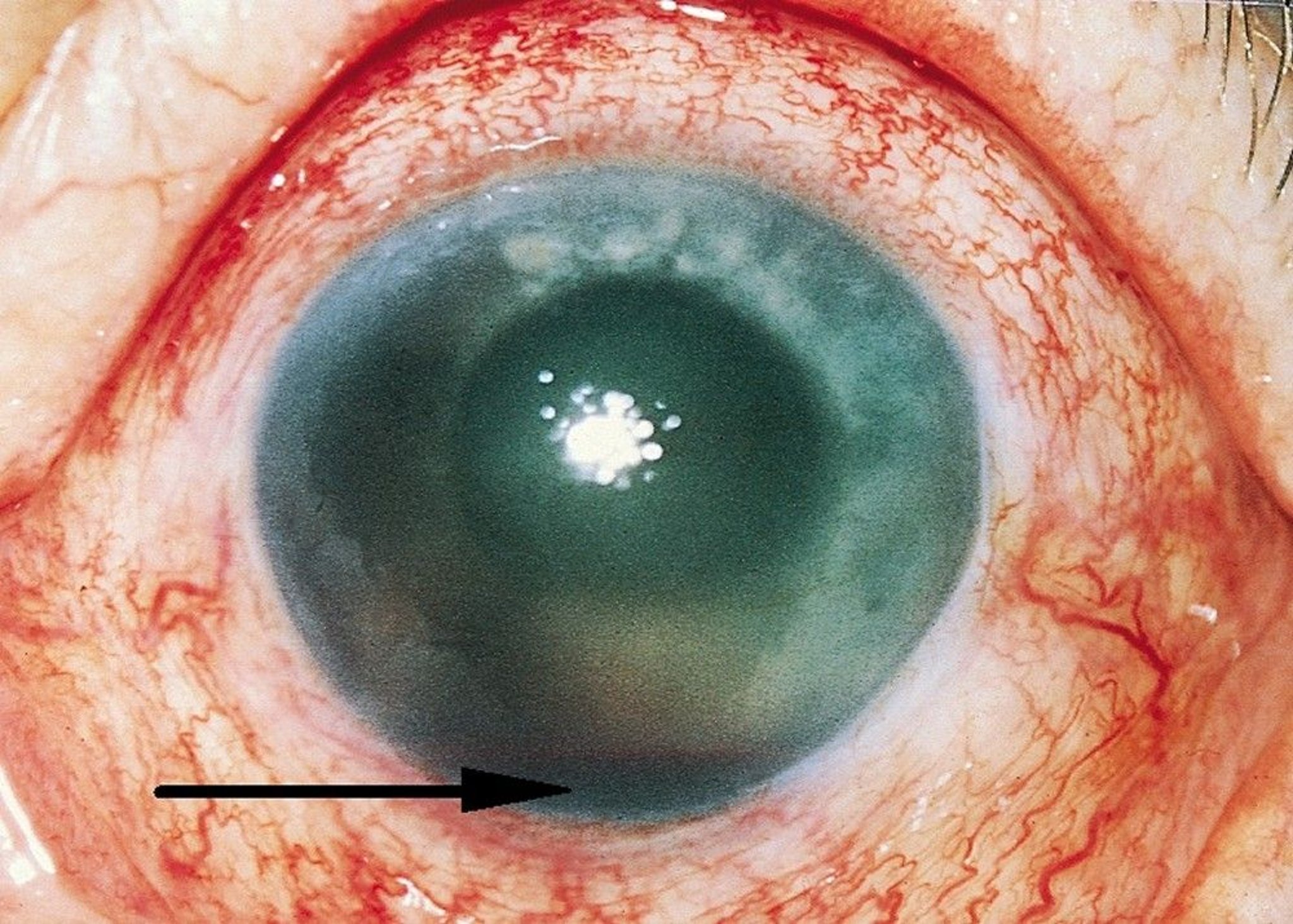
Hémorragie de la chambre antérieure (hyphéma)
Ce patient a un hyphéma traumatique (flèche) et une injection conjonctivale après une lésion traumatique de l'œil.
© Springer Science+Business Media
Dans ces sujets
Ce patient a un hyphéma traumatique (flèche) et une injection conjonctivale après une lésion traumatique de l'œil.
© Springer Science+Business Media