Histiocytose à cellules de Langerhans (TDM de la tête)
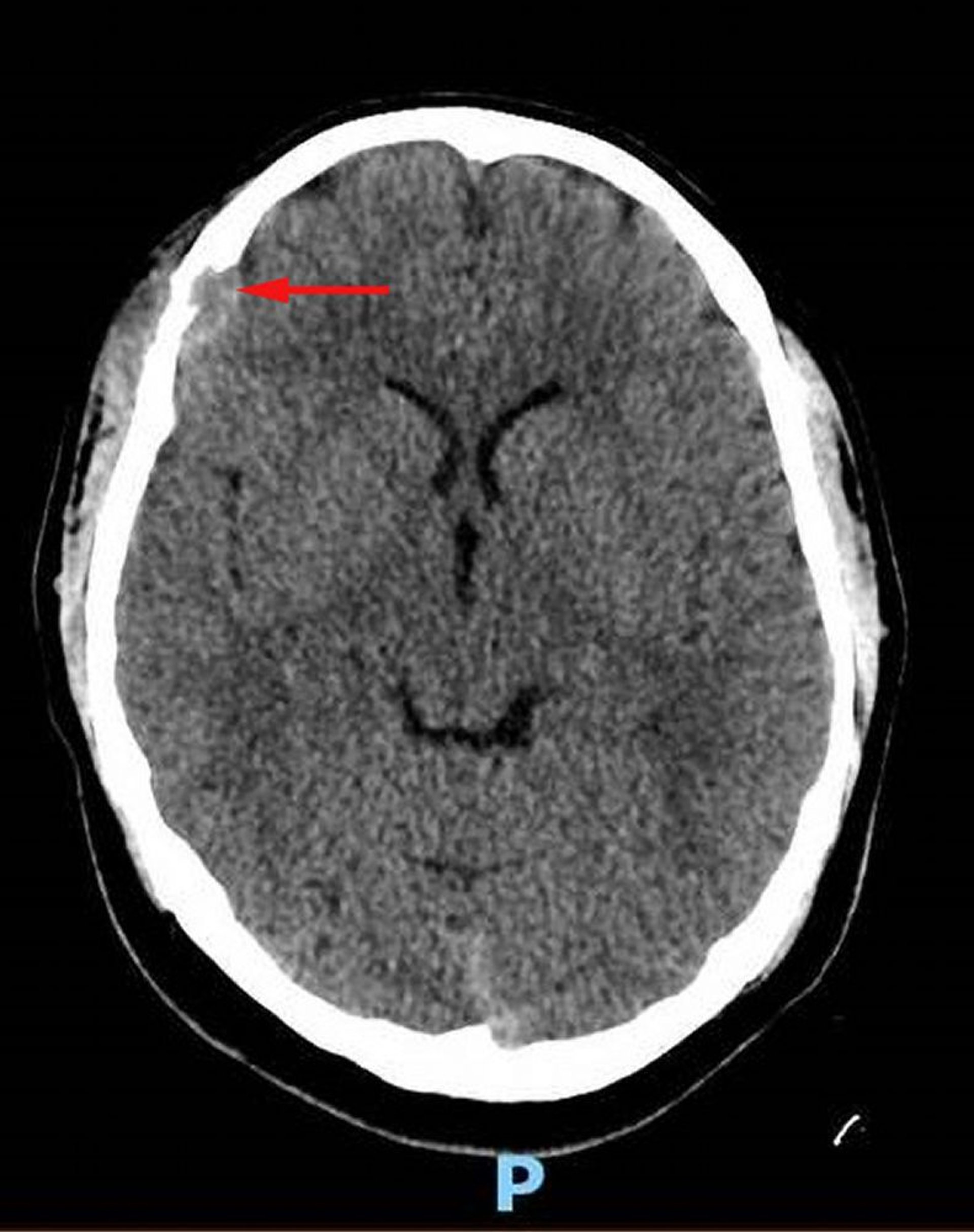
Cette image montre une lésion des tissus mous au niveau de l'os frontal droit avec destruction osseuse associée et extension intracrânienne des tissus mous dans l'espace dural (flèche rouge). Un tissu mou du cuir chevelu asymétrique est présent. La biopsie a été diagnostique pour l'histiocytose à cellules de Langerhans.
Image courtoisie de Carolyn Fein Levy, MD, and Jeffrey M. Lipton, MD, PhD.
Dans ces sujets
