Infections congénitales dues au cytomégalovirus
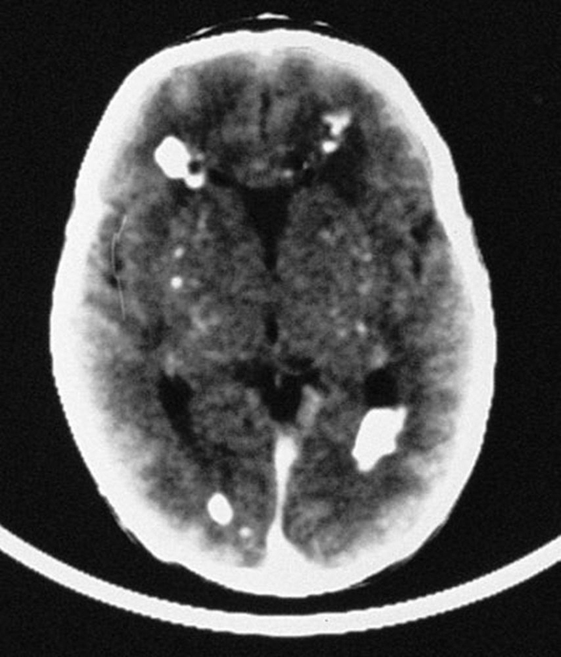
Dans cette image, la TDM révèle de multiples calcifications intracrâniennes, principalement périventriculaires, mais impliquant également des structures vasculaires du cerveau.
By permission of the publisher. From Demmler G: Congenital and perinatal infections. In Atlas of Infectious Diseases: Pediatric Infectious Diseases. Edited by CM Wilfert. Philadelphia, Current Medicine, 1998.
