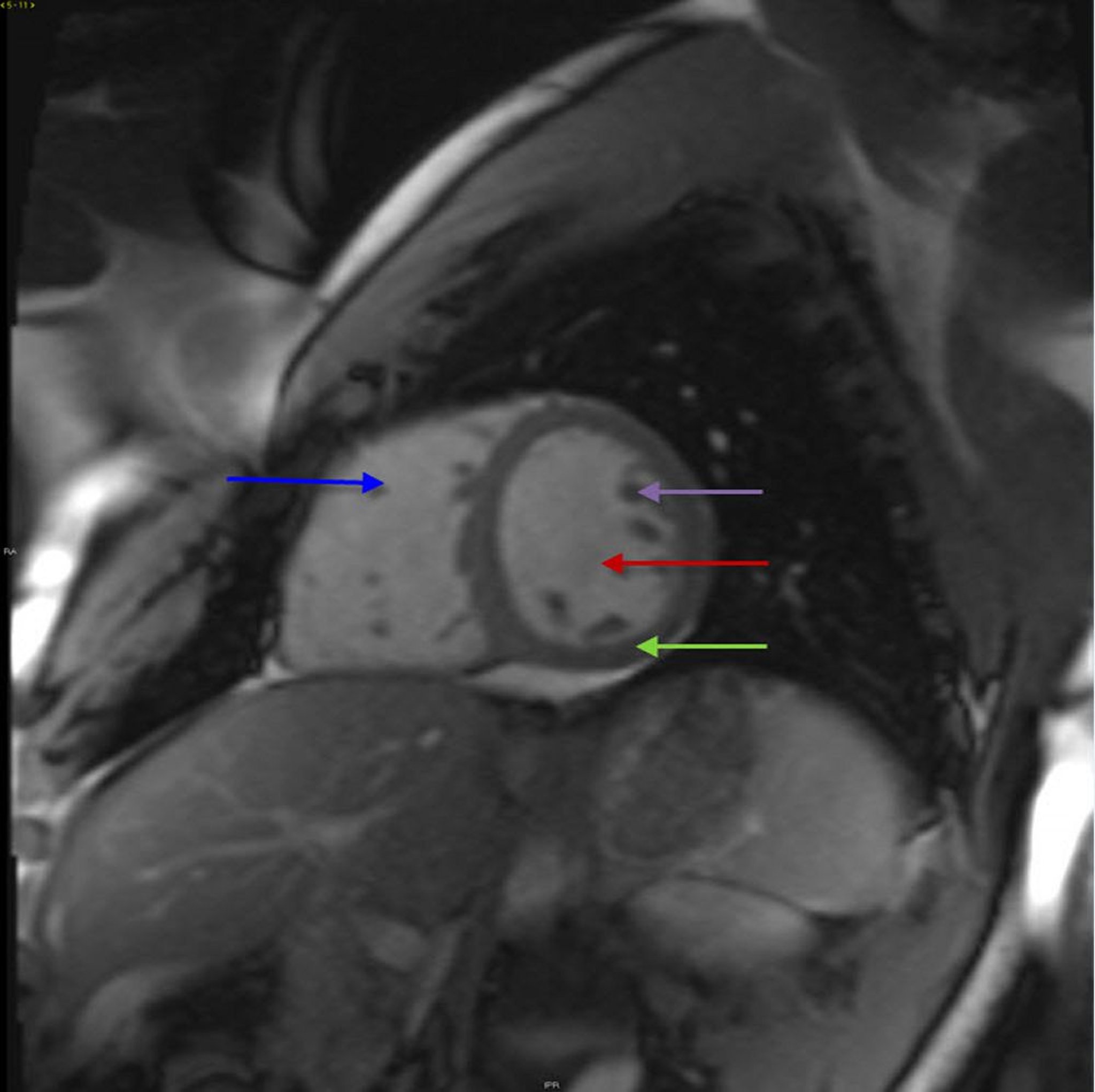
IRM cardiaque montrant une anatomie cardiaque normale
Cette image montre un ventricule gauche (flèche rouge), un ventricule droit (flèche bleue) et un myocarde (flèche verte) normaux. Les muscles papillaires (flèche violette) sont également visibles.
© 2017 Elliot K. Fishman, MD.
Dans ces sujets
