IRM du genou
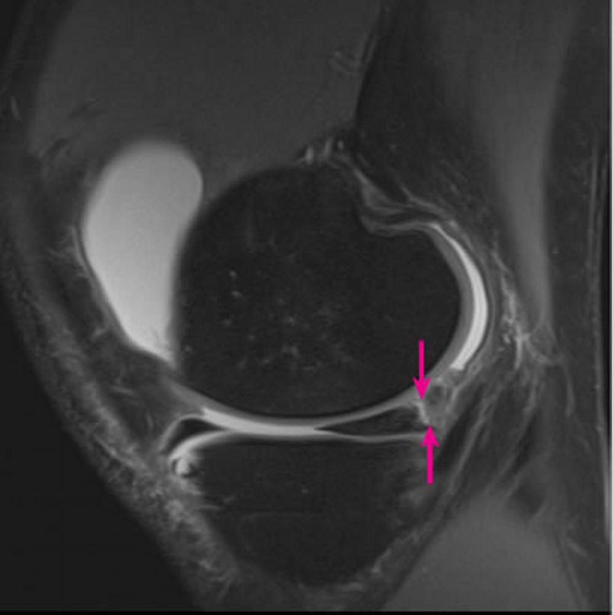
L'imagerie par résonance magnétique 3 Tesla sagittale pondérée en densité de protons du genou droit montre une séparation méniscocapsulaire impliquant la corne postérieure du ménisque médial (flèches) et un grand épanchement articulaire du genou (blanc).
Image courtoisie de Hakan Ilaslan, MD.
Dans ces sujets
