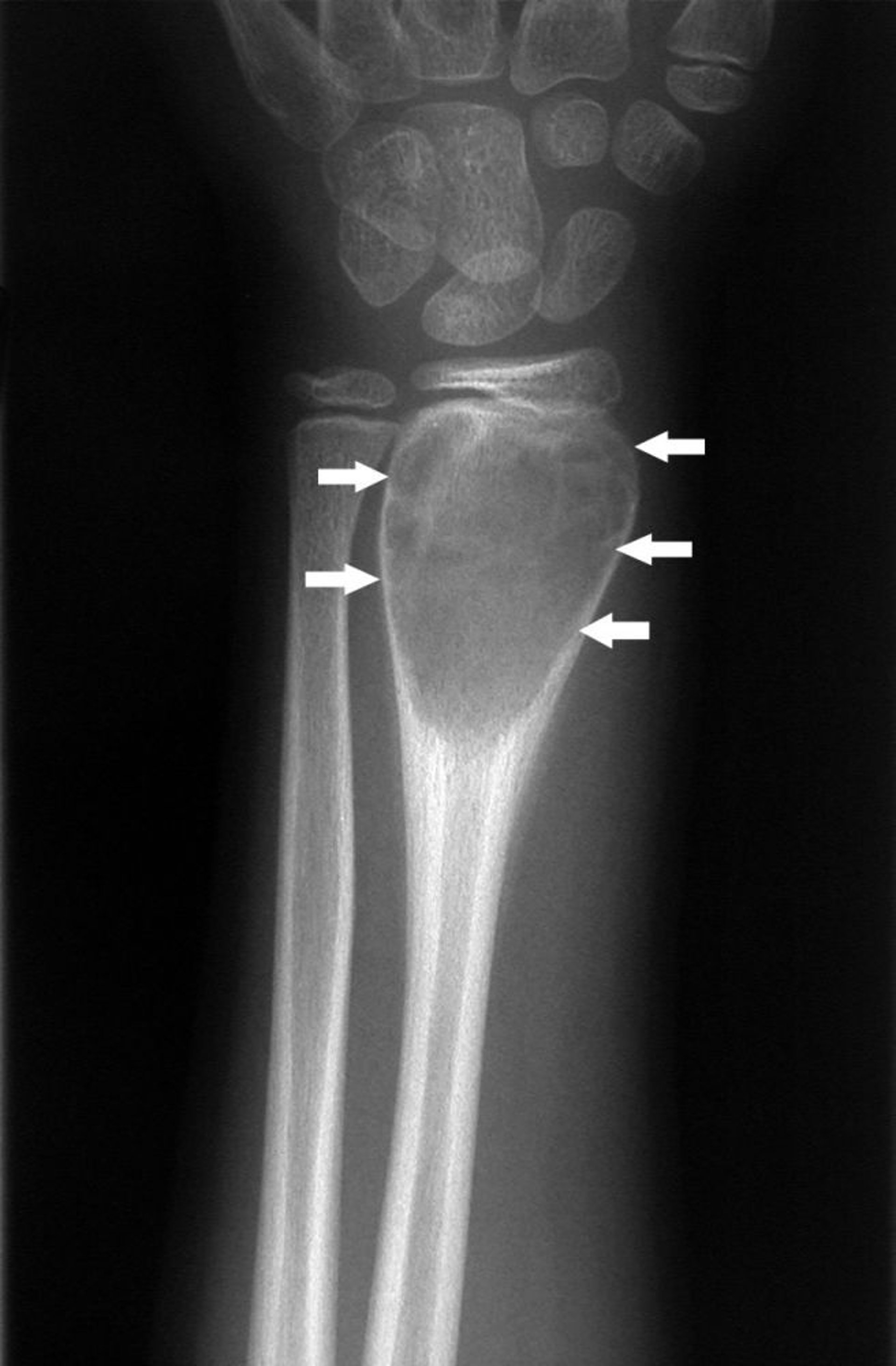
Kyste osseux anévrismal du poignet
Cette radiographie du poignet montre une formation de nouvel os périosté autour de la lésion expansive (flèches), caractéristique d'un kyste osseux anévrismal.
Image courtoisie de Michael J. Joyce, MD, and Hakan Ilaslan, MD.
Dans ces sujets
