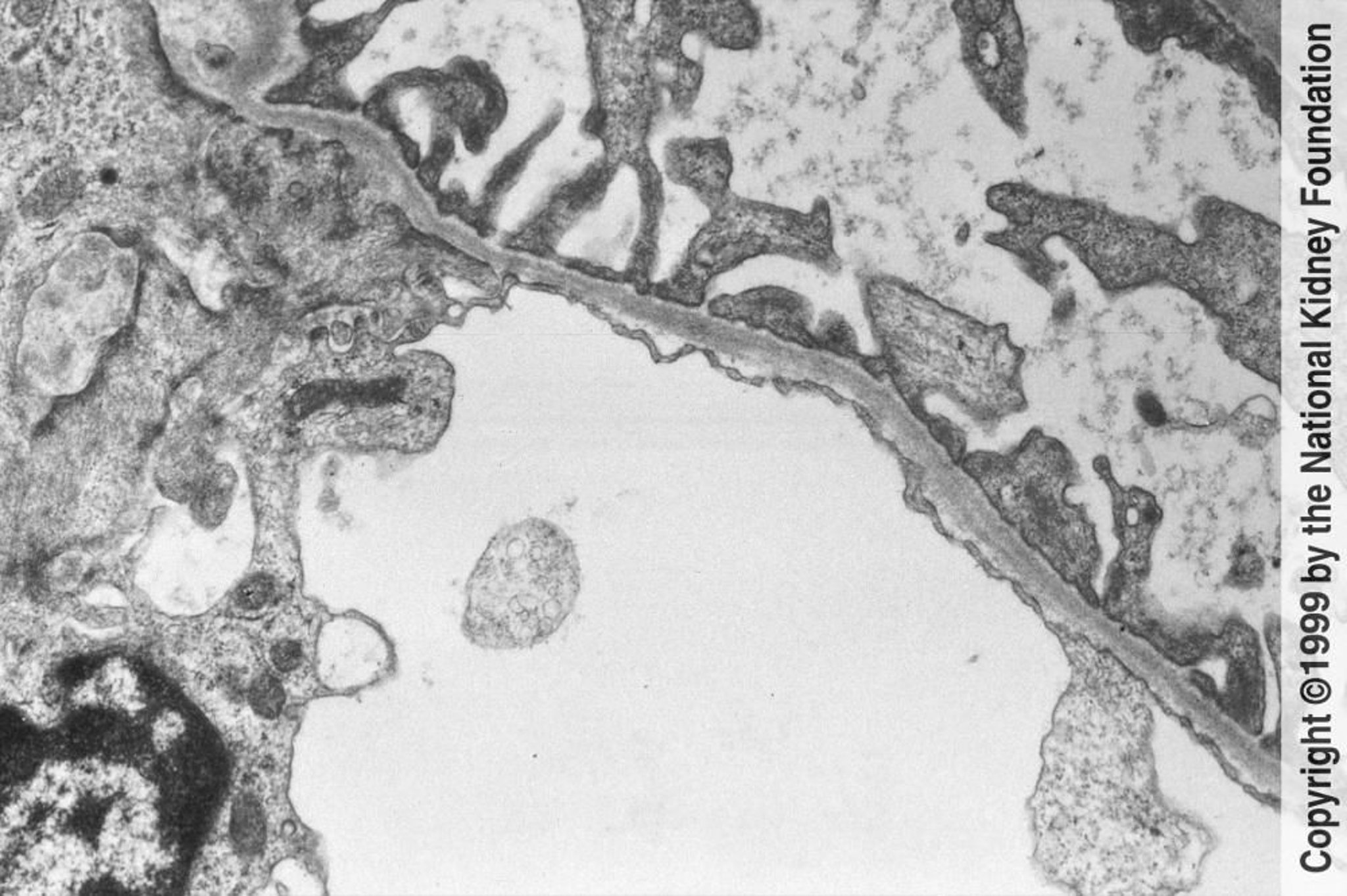
Lésion de la membrane basale mince
Une atténuation diffuse de la membrane basale glomérulaire (épaisseur < 250 nm) est observée en microscopie électronique à transmission (×3000).
Image fournie par Agnes Fogo, MD, and the American Journal of Kidney Diseases' Atlas of Renal Pathology (voir www.ajkd.org).
Dans ces sujets
