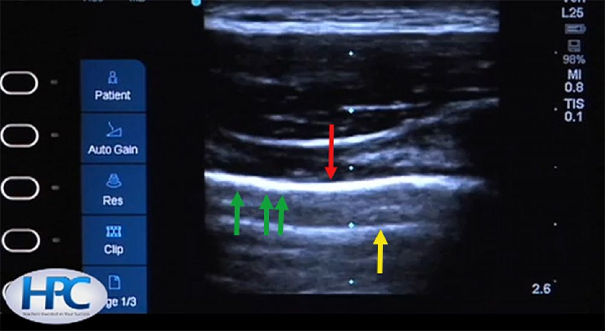
Ligne pleurale normale
La ligne pleurale est hyperéchogène (flèche rouge). Pendant la respiration, le glissement des côtes fait scintiller la ligne pleurale et crée une apparence de "ants on a log (tartine au beurre de cacahuète saupoudré de chocolat)" sur une vidéo en temps réel (flèches vertes). Des lignes A (flèche jaune) apparaissent du fait de la réflexion artificielle des ondes ultrasonores.
Copyright Hospital Procedures Consultants at www.hospitalprocedures.org.
Dans ces sujets
