Lymphome de l'os
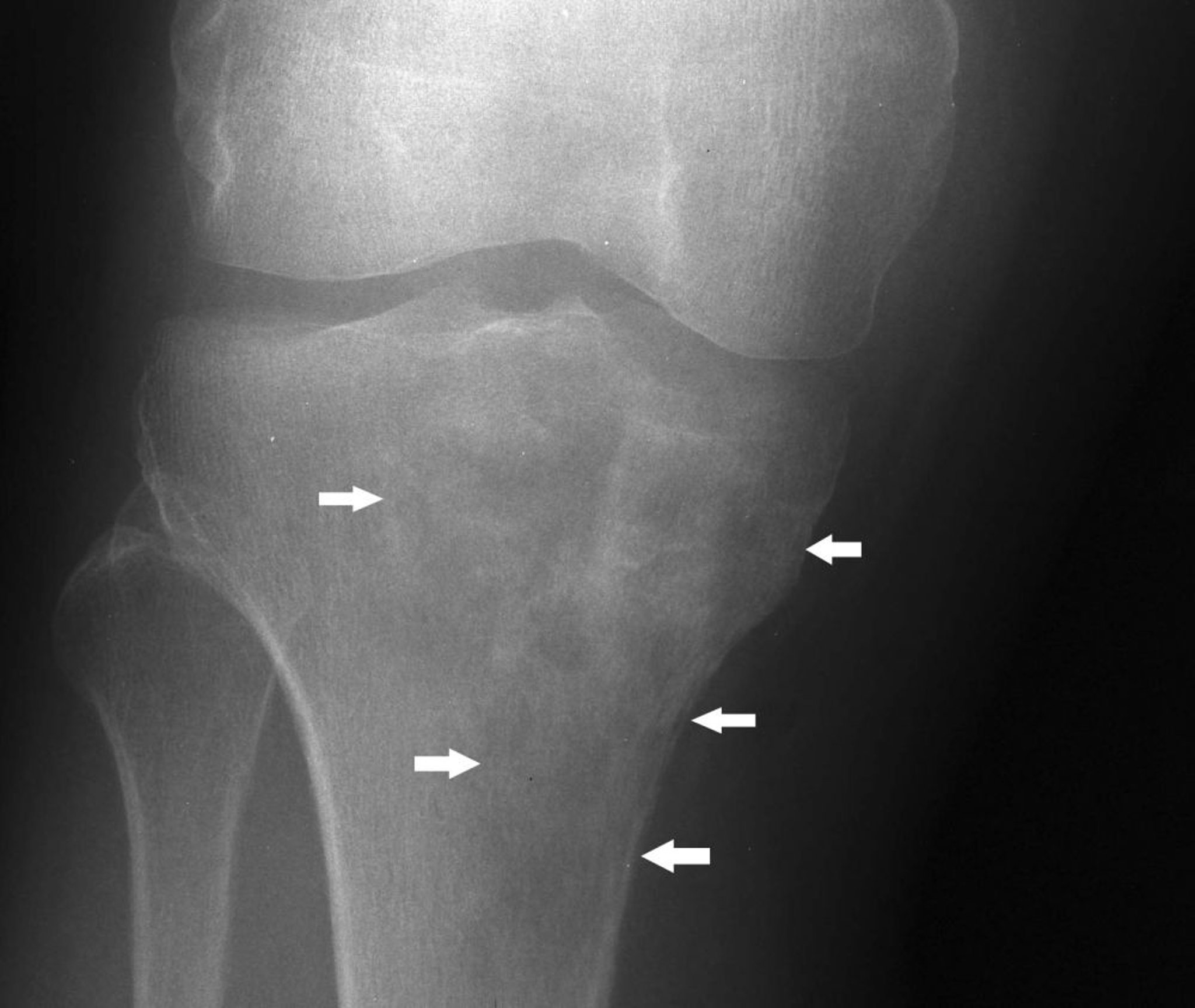
Cette radiographie du genou montre un lymphome dans le tibia proximal avec un aspect mixte lytique et scléreux sous le condyle tibial médial (flèches).
Image courtoisie de Michael J. Joyce, MD, and Hakan Ilaslan, MD.
Dans ces sujets
Cette radiographie du genou montre un lymphome dans le tibia proximal avec un aspect mixte lytique et scléreux sous le condyle tibial médial (flèches).
Image courtoisie de Michael J. Joyce, MD, and Hakan Ilaslan, MD.