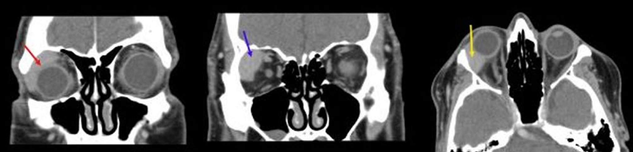
Lymphome orbitaire
Dans cette image, la première TDM coronale (à gauche) montre une masse homogène qui se conforme avec le globe (flèche rouge). La deuxième TDM coronale (au centre) montre une masse bien délimitée dans la fosse de la glande lacrymale droite (flèche bleue). La TDM axiale (à droite) montre une masse lacrymale homogène qui se conforme avec le globe droit (flèche jaune).
Images courtesy of James Garrity, MD.
Dans ces sujets
