Lésions de naissance extensives chez un nouveau-né (TDM)
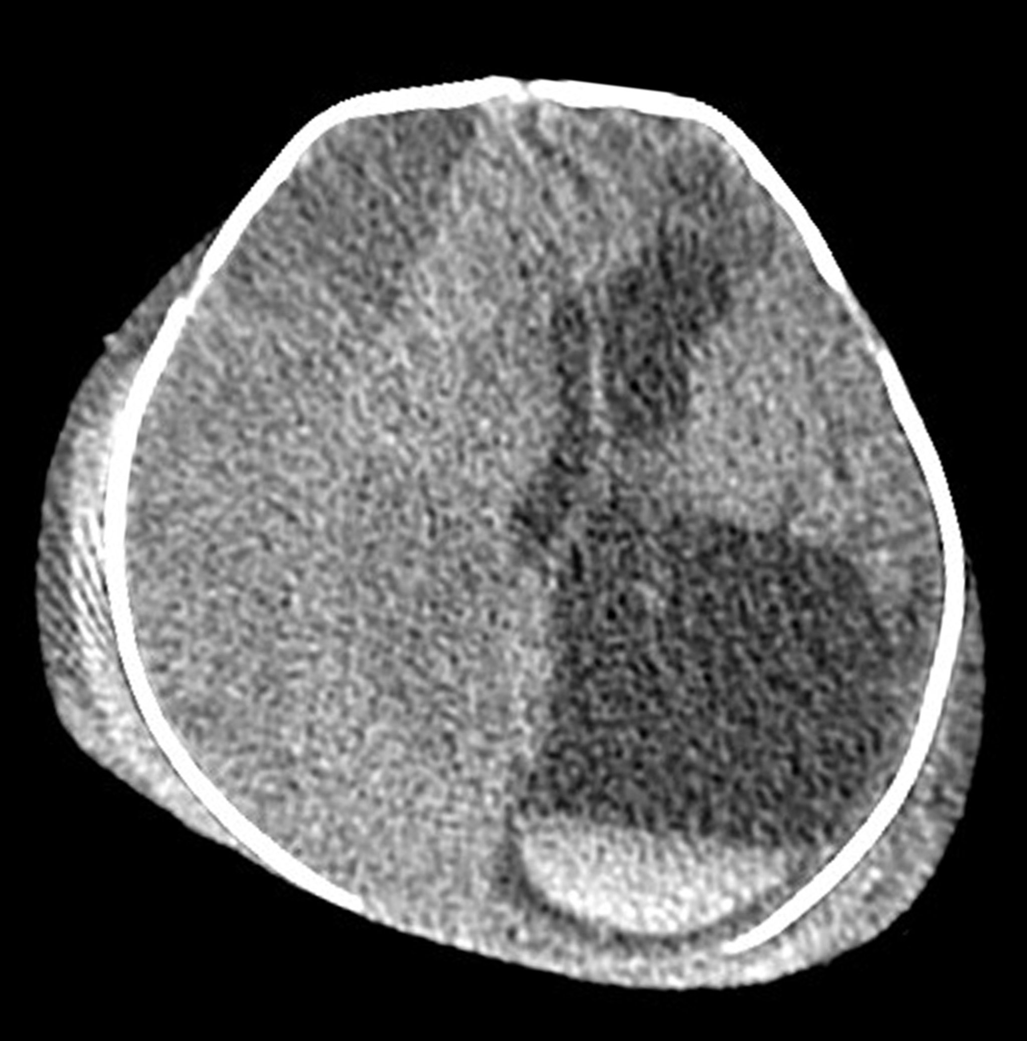
Cette TDM axiale (en coupe transversale) de la tête d'un nouveau-né montre des lésions extracrâniennes et intracrâniennes étendues secondaires à des blessures graves liées à la naissance. Il existe une formation bilatérale (gonflement/hématome) dans le cuir chevelu. Il existe un très grand hématome sous-dural isodense (subaigu) le long de l'hémisphère cérébral droit, qui provoque une hernie cérébrale qui passe la ligne médiane. L'hématome entraîne une augmentation de volume du ventricule latéral gauche. Des couches aiguës de sang dans le bas du ventricule latéral gauche (matériau blanc avec une ligne droite) sont visibles dans la partie inférieure droite de l'image.
Living Art Enterprises, LLC/SCIENCE PHOTO LIBRARY
Dans ces sujets
