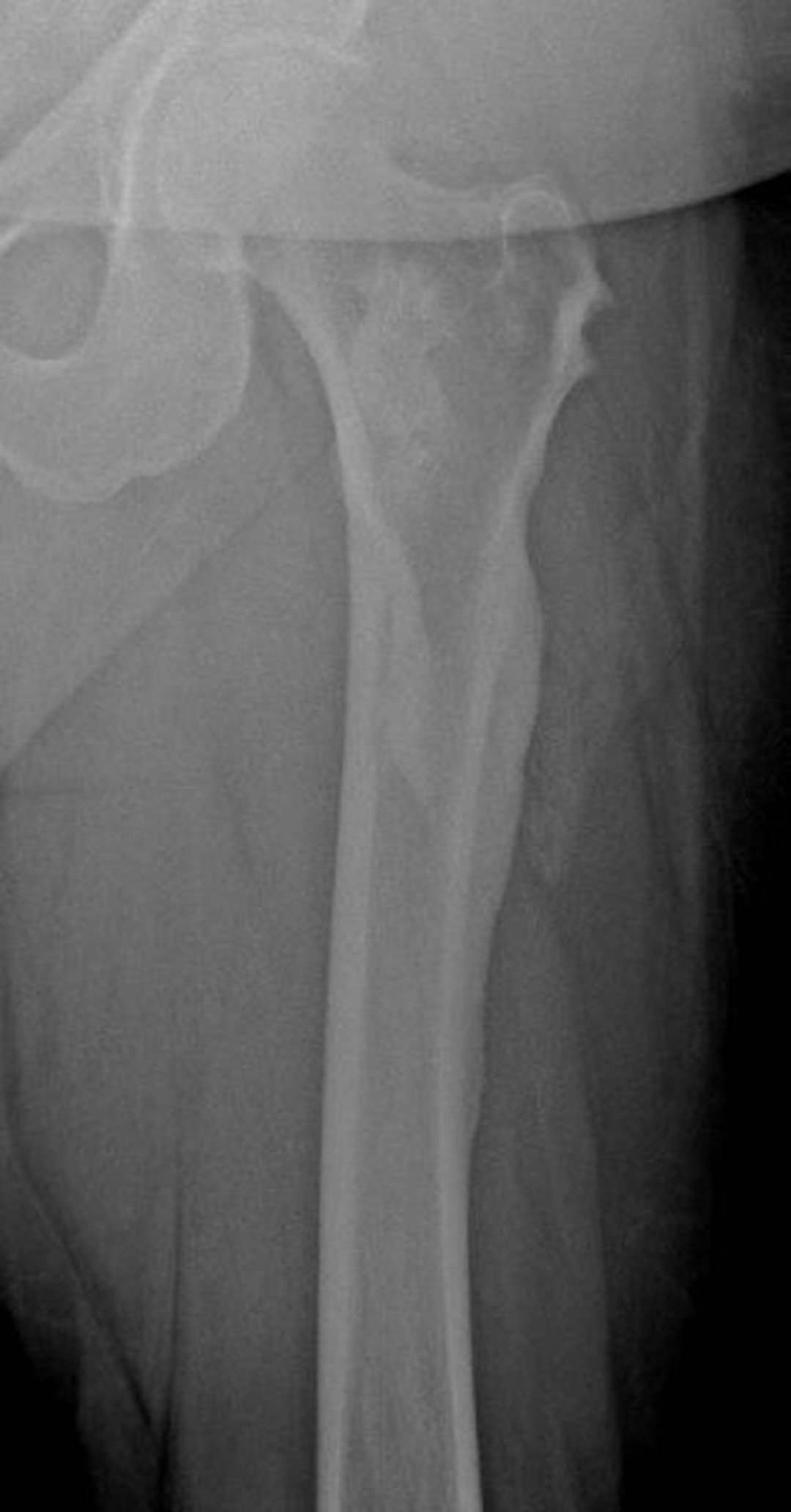
Mélorhéostose (gouttes de cire)
Cette radiographie montre l'aspect en "cire de bougie qui coule" de la mélorhéostose dans le fémur; il est particulièrement visible au niveau du cortex fémoral latéral.
Image courtoisie de Michael J. Joyce, MD, and David M. Joyce, MD.
Dans ces sujets
