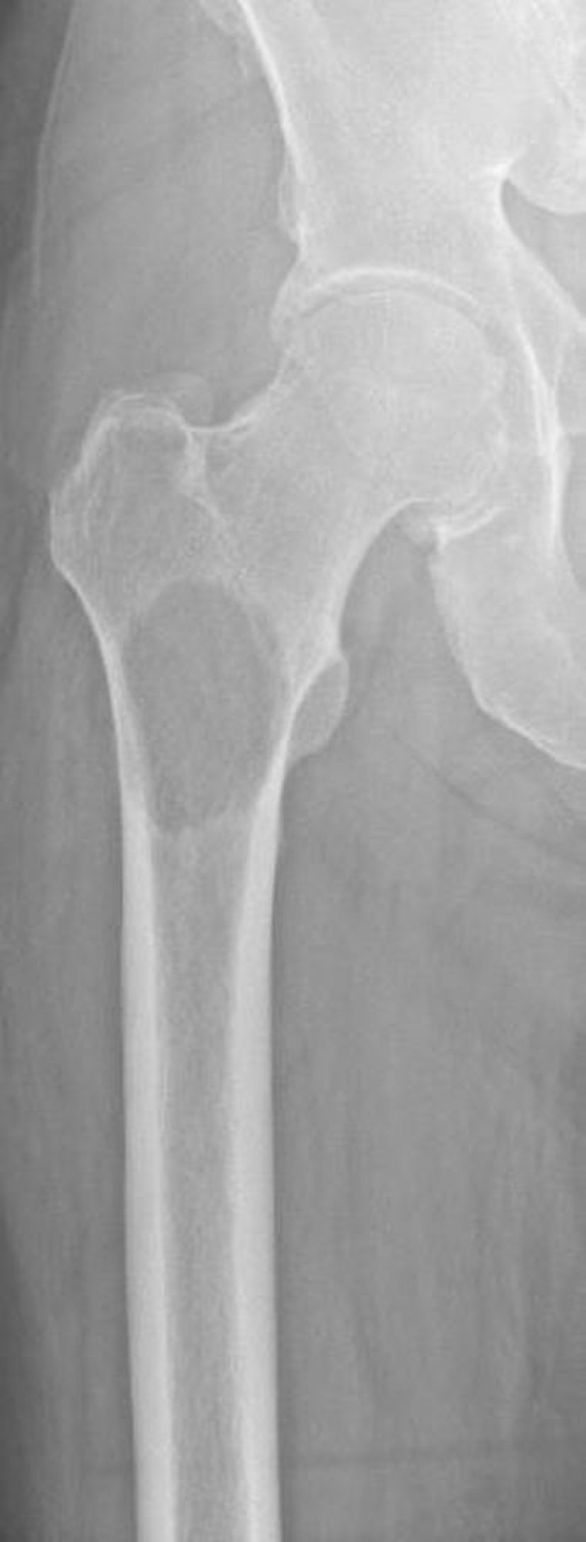
Métastases lytiques du fémur proximal
Cette image montre une destruction osseuse due à une métastase secondaire à un carcinome à cellules rénales au niveau du fémur proximal. L'emplacement et l'importance de la destruction osseuse rendent le risque de fracture extrêmement élevé (fracture imminente).
Image courtoisie de Michael J. Joyce, MD, and David M. Joyce, MD.
Dans ces sujets
