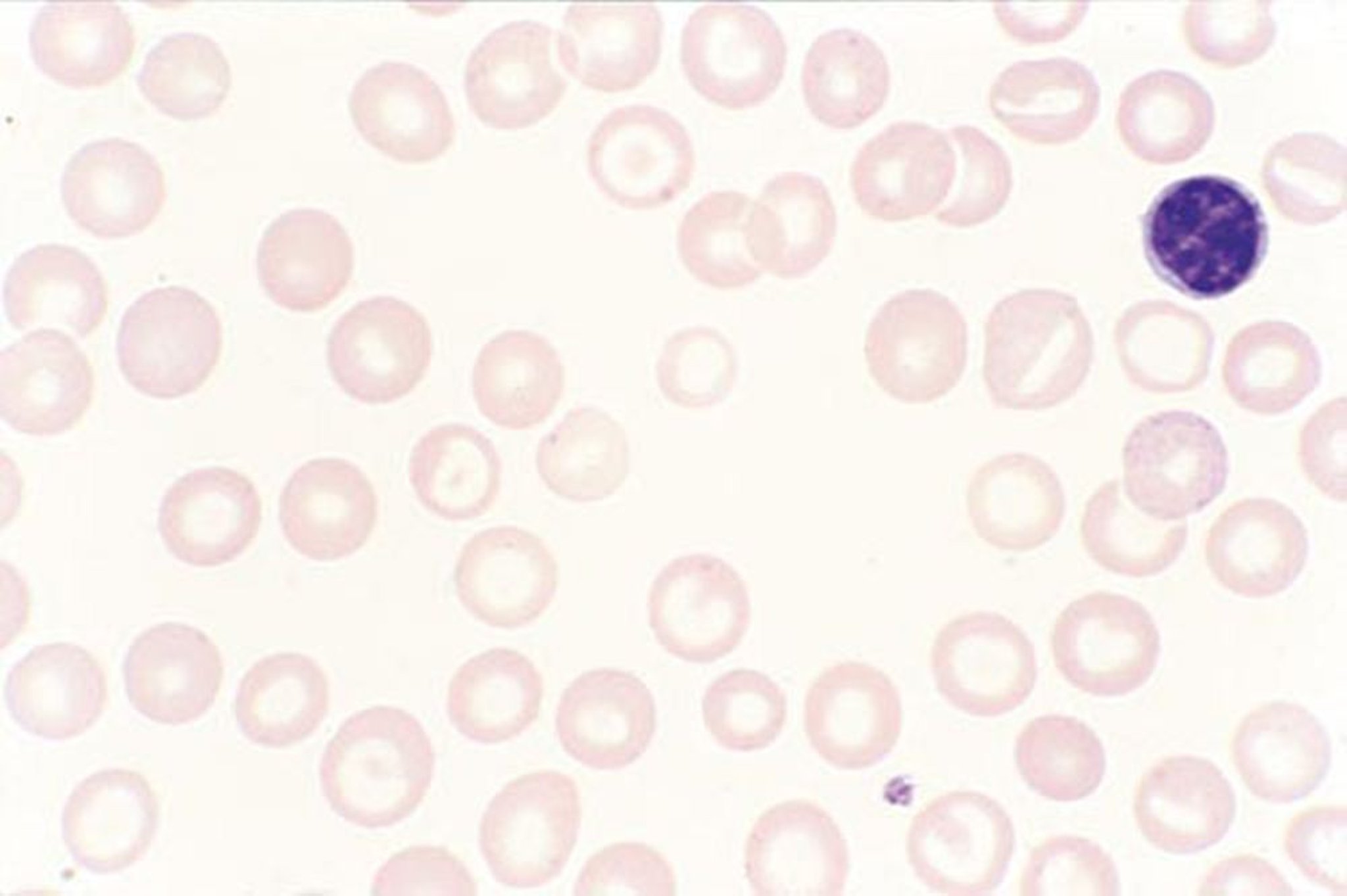
Macrocytose dans les maladies du foie
Cette image montre une anémie macrocytaire non nutritionnelle qui n'est pas induite par les médicaments. Une morphologie arrondie des globules rouges, par opposition à une macrocytose ovalaire, est en faveur d'une maladie du foie avec une surface de membrane des globules rouges excessive; les cellules cibles sont également évidentes.
By permission of the publisher. From Tefferi A, Li C. In Atlas of Clinical Hematology. Edited by JO Armitage. Philadelphia, Current Medicine, 2004.
Dans ces sujets
