Maladie de Kienböck (radiographie oblique)
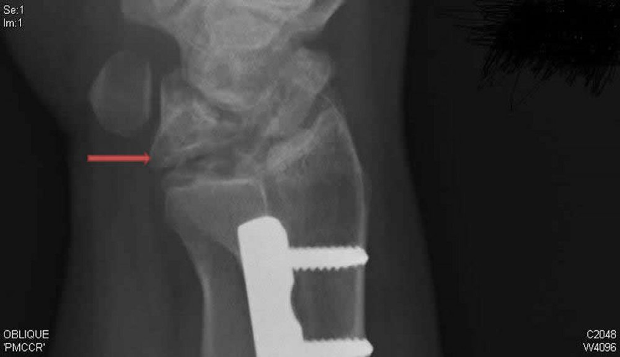
Cette radiographie oblique du poignet droit montre une maladie de Kienböck. Noter l'effondrement et la fragmentation de l'os lunaire (flèche), qui n'était pas visible sur l'incidence de face.
Rx courtoisie de David R. Steinberg, MD.
Dans ces sujets
