Maladie pulmonaire interstitielle (TDM thoracique)
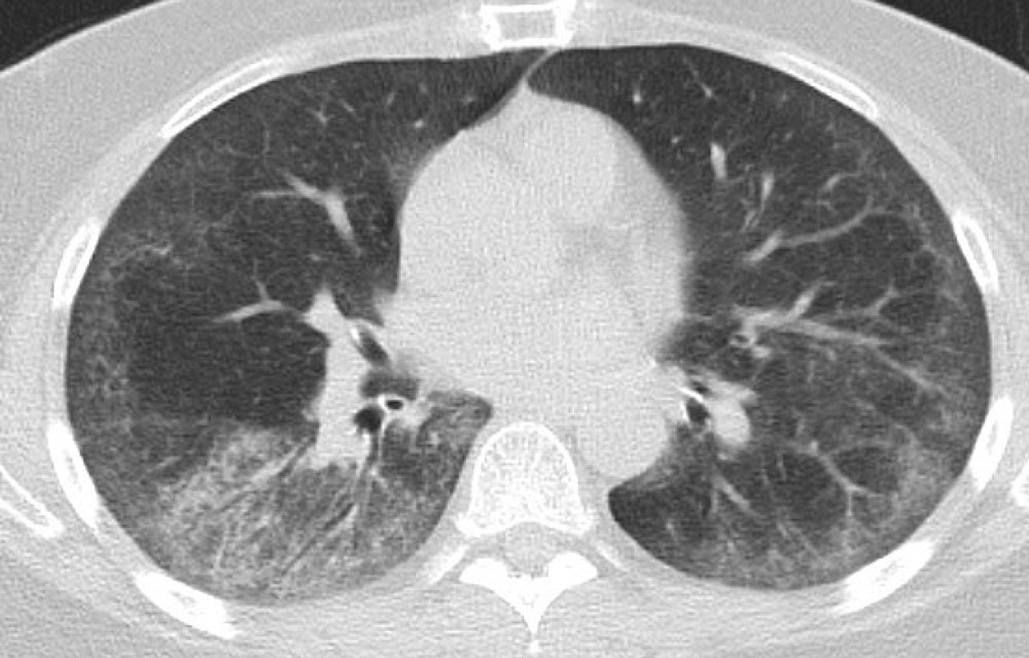
Cette TDM montre des opacités symétriques bilatérales en verre dépoli du lobe inférieur avec des zones de réticulation sous-pleurale fine; une bronchectasie légère de traction dans les deux poumons avec épargne sous-pleurale; et quelques ganglions lymphatiques thoraciques épars.
Photo courtesy of Kinanah Yaseen, MD.
Dans ces sujets
