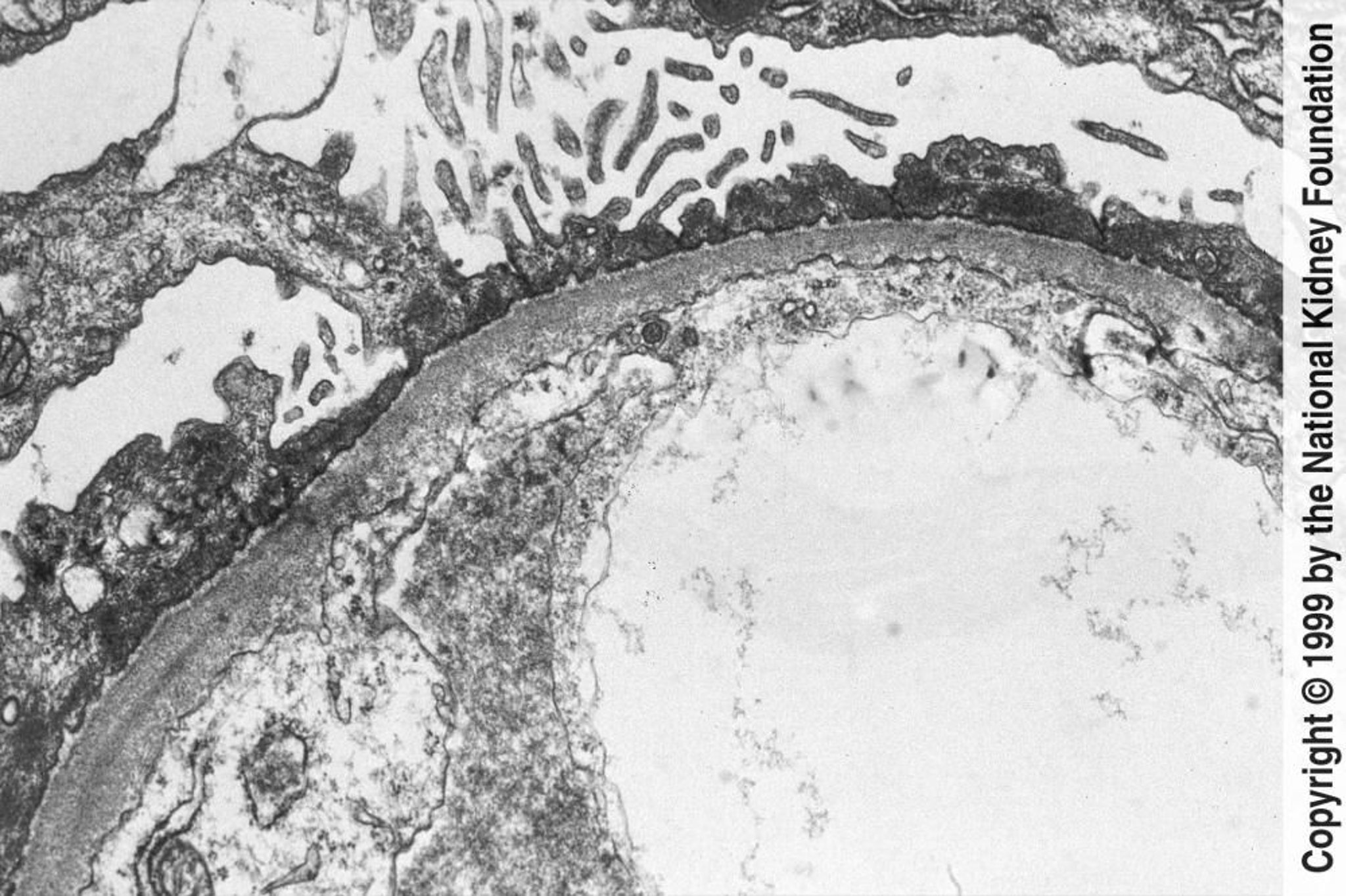
Maladie à lésions minimes
Un effacement diffus des pédicelles peut être observé en microscopie électronique à transmission (×800).
Image fournie par Agnes Fogo, MD, and the American Journal of Kidney Diseases' Atlas of Renal Pathology (voir www.ajkd.org).
Dans ces sujets
