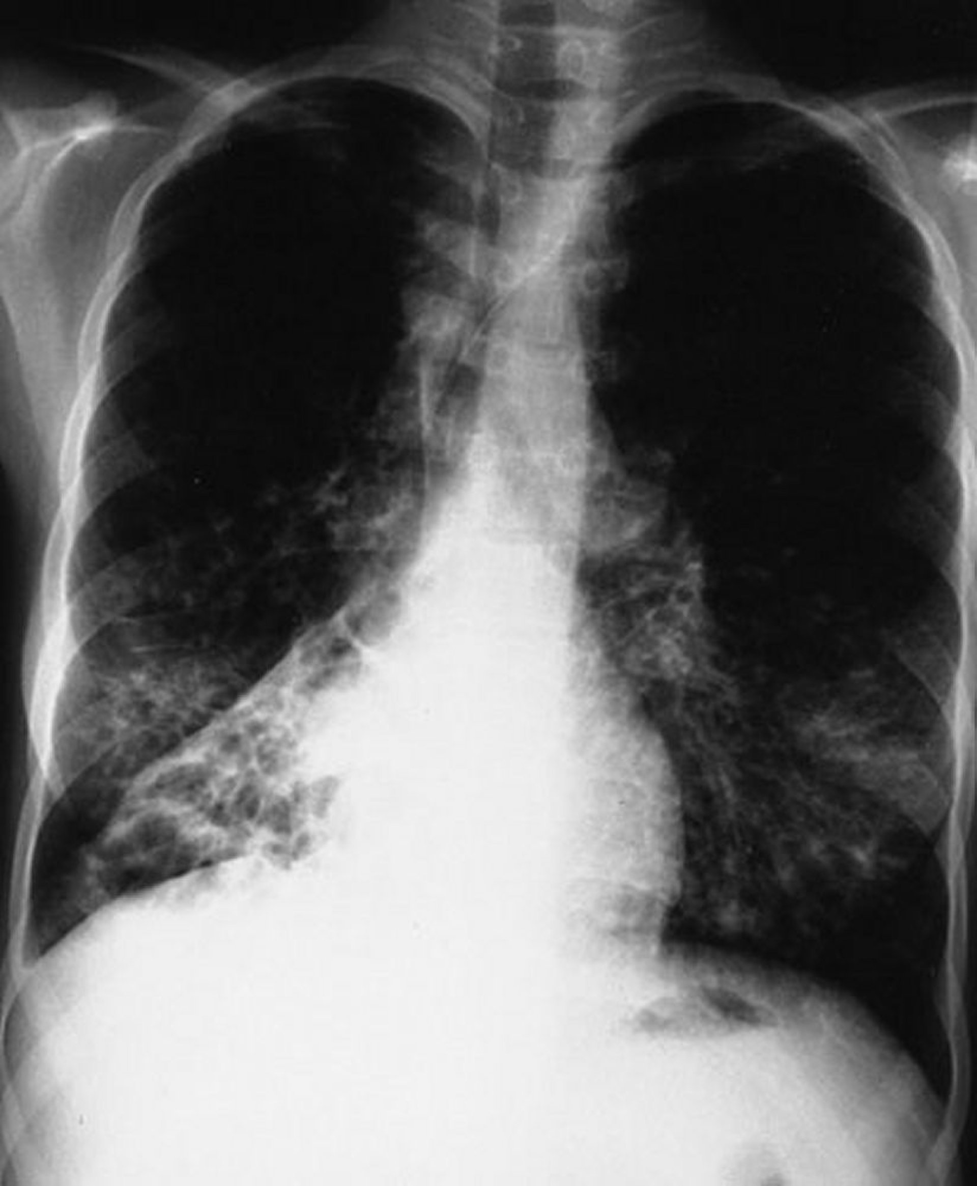
Mucoviscidose (fibrose kystique) (radiographie de thorax)
Cette radiographie pulmonaire montre un effondrement du lobe inférieur droit. Les signes sont typiques de la mucoviscidose mais ne sont pas spécifiques.
By permission of the publisher. From Berman L: Atlas of Anesthesia: Critical Care. Edited by R Miller (series editor) and RR Kirby. Philadelphia, Current Medicine, 1997.
Dans ces sujets
