Méningite tuberculeuse
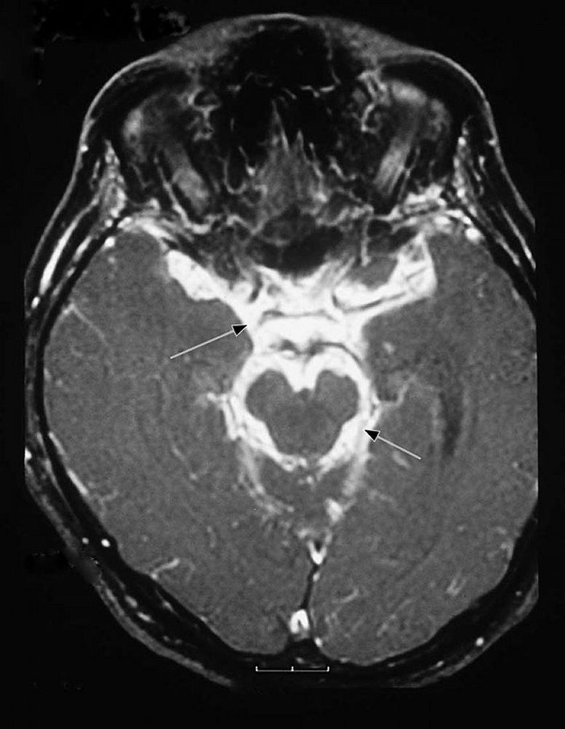
Cette imagerie par résonance magnétique (IRM) d'un patient atteint de méningite tuberculeuse montre un exsudat inflammatoire intense à la base du cerveau (méninges basilaires [flèches]) et entourant le tronc cérébral.
Image courtoisie de John E. Greenlee, MD.
Dans ces sujets
