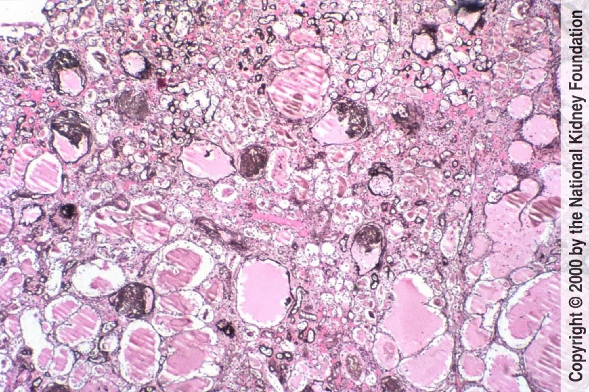
Néphropathie associée au VIH (Collapsing Glomerulopathy)
Une glomérulosclérose segmentaire et focale avec effondrement des glomérules et des anomalies tubulaires microcystiques est caractéristique de la néphropathie associée au VIH (coloration de Jones à l'argent, ×100).
Image fournie par Agnes Fogo, MD, and the American Journal of Kidney Diseases' Atlas of Renal Pathology (voir www.ajkd.org).
Dans ces sujets
