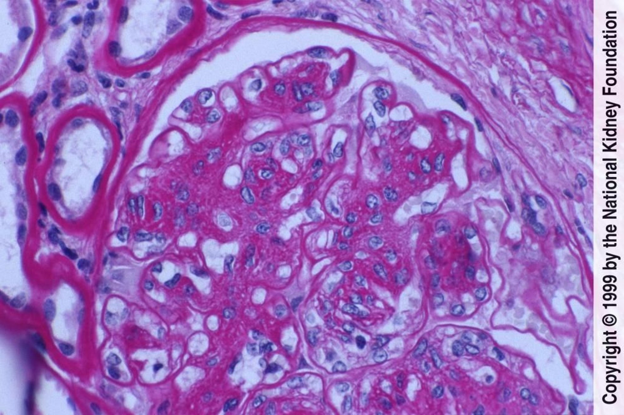
Néphropathie diabétique (prolifération des cellules mésangiales et expansion de la matrice)
La prolifération des cellules mésangiales et l'expansion de la matrice en cas de lésions endothéliales se manifestent ici par des membranes basales glomérulaires épaissies sans dépôts de complexes immuns évidents (coloration à l'acide périodique Schiff, ×400).
Image fournie par Agnes Fogo, MD, and the American Journal of Kidney Diseases' Atlas of Renal Pathology (voir www.ajkd.org).
Dans ces sujets
