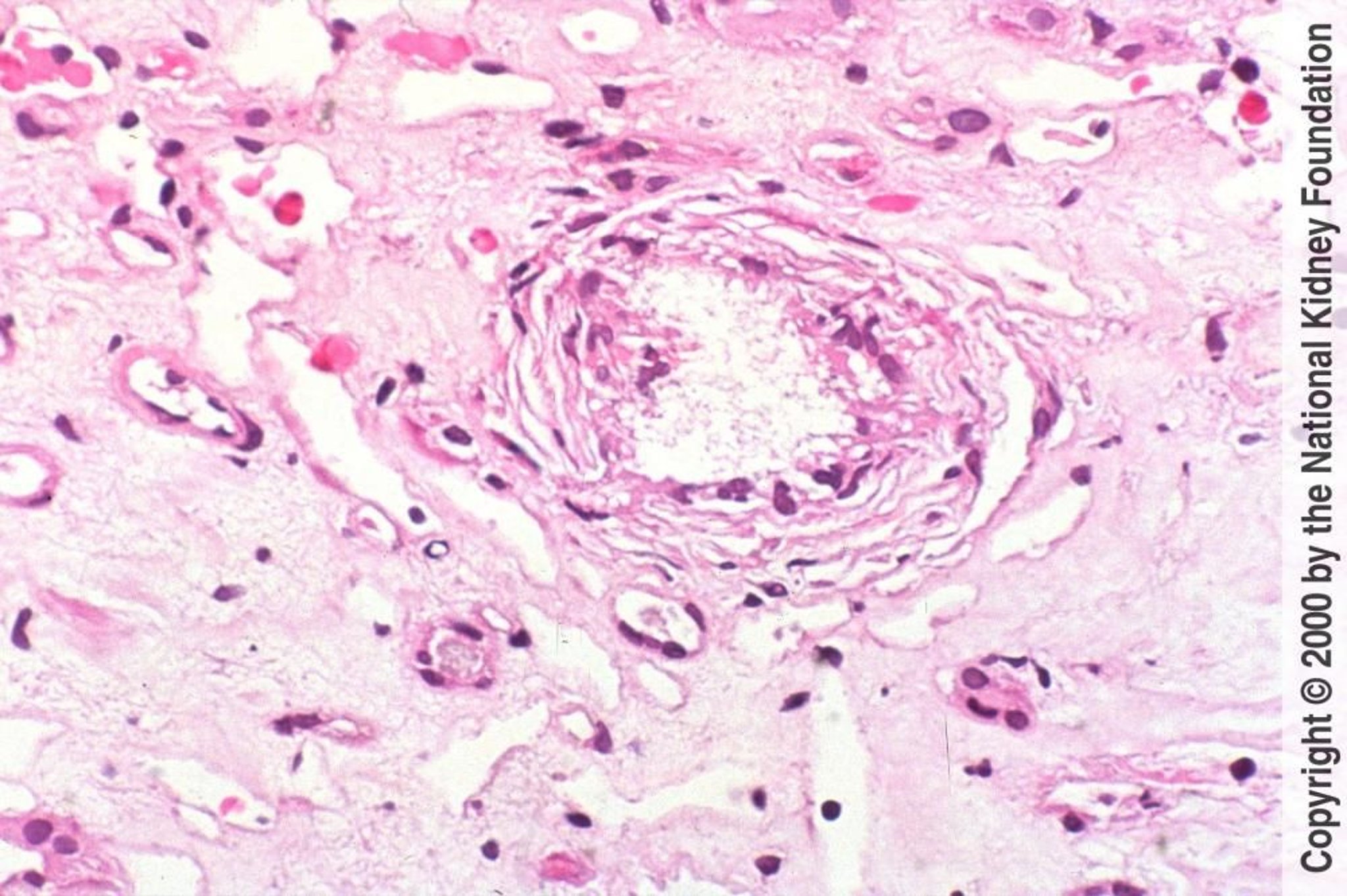
Néphropathie uratique chronique
La biopsie montre des microtophis comprenant des cristaux en forme d'aiguille dans le tubule, avec une dégénérescence tubulaire et une réaction inflammatoire et une fibrose environnantes. La formation de tophis est à présent rare et les signes de biopsie sont généralement non spécifiques et comprennent une artériolosclérose, une fibrose interstitielle et une atrophie tubulaire (coloration hématoxyline-éosine, ×200).
Image fournie par Agnes Fogo, MD, and the American Journal of Kidney Diseases' Atlas of Renal Pathology (voir www.ajkd.org).
Dans ces sujets
