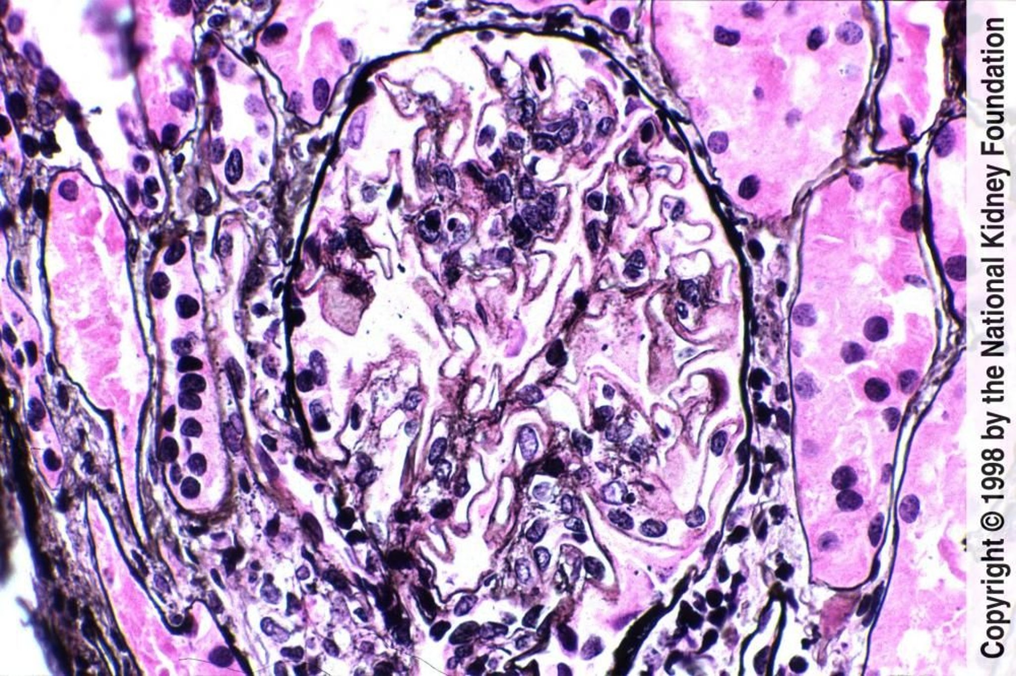
Néphrite lupique membraneuse (classe V)
Des trous diffus, de petites pointes et une légère expansion mésangiale avec de petites zones de coloration rose indiquent des dépôts de complexes immuns mésangiaux (coloration de Jones à l'argent, ×400).
Image fournie par Agnes Fogo, MD, and the American Journal of Kidney Diseases' Atlas of Renal Pathology (voir www.ajkd.org).
Dans ces sujets
